二零二二年七月中旬,花蓮慈濟醫院迎來一位出生即有「先天性肺部呼吸道畸形」的新生寶寶小敬(化名)。由於出生後小敬呼吸會喘,喝奶時也會喘,經過檢查,發現他的左上肺葉被囊泡樣的組織取代,無法像正常的肺泡順利交換氣體、供應身體氧氣,因此必須依賴正壓呼吸器輔助才能順暢呼吸。為解決新生兒呼吸窘迫的問題,花蓮慈院兒童外科主任彭海祁與主治醫師楊筱惠,聯手花蓮慈院麻醉部團隊,在小敬出生後第五天就為他進行左上肺葉切除手術,讓他能夠脫離呼吸器,自主順利地呼吸。
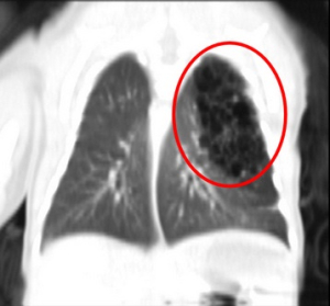
「先天性肺部呼吸道畸形」是指肺葉被類似囊泡樣的組織取代,而沒有正常的肺泡,無法進行氣體交換,甚至壓迫到縱膈腔造成心臟血管偏移,發生率大約是每25000~35000名新生兒中會出現一名,十分罕見。兒童外科楊筱惠醫師表示,小敬媽媽做產檢時並未發現異常,且生產過程順利並無早產,但小兒主治醫師張宇勳主任和照護小敬的醫護團隊十分警覺,發現孩子出生後出現呼吸喘的情形,很快地被轉往新生兒加護病房(PICU)並做X光檢查,從影像中發現小敬的左上肺葉有一些「囊泡」模樣的東西,判斷這可能是「先天性肺部呼吸道畸形」,於是後續再幫他做電腦斷層,確定符合診斷。
根據先天性肺部呼吸道畸形的嚴重程度差異,個案會有不同的症狀表現,有些非常嚴重的個案,當胎兒還在媽媽肚子裡,就已呈現嚴重水腫,甚至出生後很快地死亡,或者是會喘到需要插管或裝上葉克膜。所幸小敬的呼吸喘情形並沒有太嚴重,加上他的左下肺葉發育得很好,僅需要正壓呼吸器的輔助即可。楊筱惠醫師指出,產檢發現而出生後無症狀的案例是否手術切除仍有爭議,但對於有症狀、呼吸喘的寶寶,則需手術將無正常功能的肺葉切除;人體共有五片肺葉(左二、右三),由於觀察到小敬的其他肺葉發育良好,經過醫療團隊和家屬討論,決定盡快為小敬動手術,盡早把生病的左上肺葉切除掉,這樣可以讓正常的肺葉進行功能上的代償,對孩子日後的呼吸能力影響也較小。
整個肺葉切除手術歷時約一個半小時,除了開胸手術本身的難度,新生兒的麻醉也是較為棘手的部份,需要考慮到手術過程中孩子的體溫散失等問題。在麻醉部主任陸翔寧的指導下,包括鄭偉君醫師在內的麻醉科團隊戮力合作完成任務,讓兒童外科團隊能夠順利接手後續的切除手術。楊筱惠醫師表示,透過這次跨團隊的交流,包括小兒科與呼吸治療科的術前評估、兒童外科與麻醉科的手術合作,感恩大家不斷溝通與協調,才能很快地為病人解決問題。
經過小兒團隊術後的悉心照護,日前小敬終於康復出院!除了感謝給予協助的各單位,楊筱惠醫師還特別感恩小敬的家長在整個溝通的過程中,一直帶給醫療團隊信心,「因為出生率下降,很多兒童外科疾病或先天異常的案例也減少,特殊案例集中至特定醫院,有些案例,一位小兒外科醫師一輩子也只會碰過一、兩例,因此像這樣的個案,很多還是會選擇到北部的醫院做治療。但小敬媽媽表示很信任花蓮慈院的兒科及外科團隊,也相信跨團隊之間的默契,希望可以直接在這邊動手術。」目前手術後已經過二個月的時間,小敬恢復狀況良好,回診時都十分有精神,小敬媽媽也很感謝花蓮慈院團隊對孩子的照顧,期望他能夠帶著這麼多人的祝福,健康平安地長大!


左圖:楊筱惠醫師指出,對於患有「先天性肺部呼吸道畸形」且有症狀、呼吸喘的寶寶,需進行手術將無正常功能的肺葉切除,讓正常的肺葉進行功能上的代償,對孩子日後的呼吸能力影響也較小。
右圖:電腦斷層影像顯示,小敬的左上肺葉被類似囊泡樣的組織取代。






