花蓮慈濟醫院兒少保護區域醫療整合中心主任張雲傑帶著「菩薩心、爸爸心、兒科專業」投入兒少保護醫療工作,三年來與社政、教育、警政、司法合作守護東臺灣兒童與少年的安全與健康,更創設親職諮詢,讓兒少保護工作延伸至學校、社區,獲得臺灣保護服務工作最高榮譽「紫絲帶獎—新銳獎」肯定。
為了提升醫療水準,促進國際醫學交流,九月三十日上午,花蓮慈濟醫院外科部特地邀請了日本川崎幸病院(醫院)院長Dr. Shin Yamamoto(山本晉)、大動脈外科科長Dr. Susumu Oshima(大島晉)、大動脈外科住院醫師Dr. Mayu Kyono三位醫師,在花蓮慈院進行專題演講及座談。更重要的是在現場,由花蓮慈院院長林欣榮與川崎幸病院院長山本晉,代表雙方簽下合作備忘錄,約定在臨床經驗與醫學教學領域,進行更進一步的交流。

圖:花蓮慈院院長林欣榮與川崎幸病院院長院長Dr. Shin Yamamoto(山本晉),代表雙方簽下合作備忘錄,約定在臨床經驗與醫學教學領域,進行更進一步的交流。
乳癌是臺灣女性癌症發生率中排名第一名的癌症,每年有超過16,000名以上的女性罹患乳癌,花蓮慈濟醫院乳房醫學中心主任張群明醫師表示,有些病人經由乳房篩檢,意外的發現小於1公分的早期腫瘤,也有些患者透過定期的乳房自我檢查,發現乳癌腫瘤大小約1公分多,但臨床上常常遇到不少病人來就醫時,腫瘤已超過2公分。
花蓮慈濟醫院是花東地區唯一的醫學中心,也是東部唯一能夠進行器官移植的醫院,27年來已完成800多例器官移植手術,勸募近350名器捐者,幫助了超過一千多位病人,為無數等候器官移植家庭帶來重生的機會。資深器捐協調師施明蕙和周桂君榮獲衛生福利部「優秀器官勸募人員」肯定。

圖說:衛生福利部9月28日舉辦「第十四、十五屆優秀器官勸募人員暨醫療機構」表揚大會,施明蕙器捐協調師獲得第十四屆優秀器官勸募人員,並與周桂君協調師雙雙獲得「器官捐贈精彩十年」等獎項。
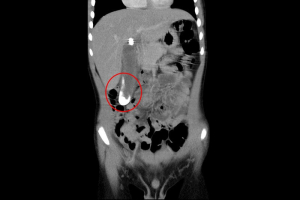
二零二二年八月中旬,六歲的陳小弟因腹痛不止而就醫,經超音波和電腦斷層檢查,發現膽囊裡竟有大片膽結石堵住與膽管的銜接處,造成發炎、引起疼痛,在花蓮慈濟醫院小兒部陳明群與張雲傑醫師的會診後,判斷陳小弟是罕見的「小兒膽結石」。
73歲的邱伯伯,今年六月底時,騎乘機車與轎車相撞摔傷,左側股骨骨折(大腿骨折),經過花蓮慈濟醫院麻醉團隊進行術前神經阻斷術(神經止痛術)、以及骨科團隊骨折固定手術後,邱伯伯手術沒有了疼痛問題,身體恢復良好,不只行動自如,甚至還可以下田工作。從開刀前到開刀後都無痛,讓邱伯伯開心直說「不會痛,沒有感覺到痛,跟以前受傷開刀是完全不一樣的感受」。

圖說:邱伯伯(中)與太太,感恩麻醉部疼痛科王柏凱主任(左)、運動醫學中心主任暨骨科醫師劉冠麟(右)。
流感季節即將來臨,花蓮慈濟醫院在10月3日,正式開始施打公費流感疫苗,首日為65歲以上長者集中施打場次,預計為200名長者接種疫苗,林欣榮院長表示,目前公費第一階段的預約接種人數,包含同仁已超過3000人,呼籲民眾都能來接種流感疫苗,接種的人越多,疫苗能發揮更大的效果,不只預防流感大流行,也能保護自己與保護家人。


圖說:花蓮慈濟醫院在10月3日,正式開始施打公費流感疫苗,首日為65歲以上長者集中施打場次,預計為200名長者接種疫苗。
918地震不僅中斷東線鐵路交通,也打亂花蓮慈濟醫院支援花蓮縣南區、臺東縣各家醫院的醫師行程,但為使各院門急診醫療「如常」,各科支援醫師願用更多的個人時間換取偏鄉居民的就醫權利,有的搭乘慈院專案調整的接駁車,甚至搭乘類火車,還有提前一晚在當地過夜;在玉里慈院看診的心臟內科張懷仁醫師說「病人多是老人家,捨不得讓他們等太久」。
花蓮慈濟醫院十月三日下午啟動「震後關懷情,募愛助花東」募心募愛活動,院長林欣榮指出,九一八池上地震已過二星期,花蓮慈院除想方設法讓支援玉里、臺東的醫療不中斷外,更希望匯聚更多的愛心,支援慈濟基金會協助災民修繕受損民宅、重建受損校園。

圖說:匯聚眾人愛心力量大,啟動儀式後,合照齊說 「地震無情,人間有愛,募愛助花東」,邀請大家一起來幫助「我們的鄉親」。
根據統計,在花蓮慈濟醫院每年接生的近六百位新生兒中,有將近六十位是出生時不滿三十七周的早產兒;而且平均每周會遇到一位急產或者是罹患先天性疾病的新生兒,對於這些孩子們來說,保溫箱是他們出生後很重要的保護。九月二十八日,賈永婕帶著許多臺灣人的祝福來到花蓮慈院,捐贈最新型的微電腦加護型新生兒保溫處理台溫箱系統(二合一加護型保溫箱),與花蓮慈院一起守護花東地區的孩子。

圖說:九月二十八日,賈永婕(左六)帶著許多臺灣人的祝福來到花蓮慈院,捐贈最新型的微電腦加護型新生兒保溫處理台溫箱系統(二合一加護型保溫箱),與花蓮慈院一起守護花東地區的孩子。