花蓮慈濟醫院失智共照中心與吉安鄉公所合作承接,由衛生福利部國民健康署主辦、社團法人台灣失智症協會承辦的「德曼莎計畫」,於七月二日上午在吉安鄉立圖書館舉行「與您相約認識德曼莎」沙發講座活動,邀請到吉安鄉長游淑貞與四組失智個案及家庭主要照顧者來到現場,分享病程的進展過程、醫療及日常生活照顧點滴。
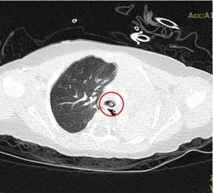
六月十八日凌晨,一名11個月大的女嬰因出現呼吸不暢等缺氧症狀,被緊急送往花蓮慈濟醫院,經急診團隊初步檢查,發現是吸入異物造成氣管阻塞,後續小兒部團隊利用支氣管鏡,將堵塞左邊支氣管的異物夾出,二天後女嬰從兒童加護病房轉至普通病房,並在二十一日平安出院。花蓮慈院兒童急重症科主任裘品筠表示,一般一至二歲以下的嬰幼兒處在口腔期,可能會經常拿到東西就往嘴裡塞,呼籲家長將家中的小物品妥善收起,以避免不慎被孩子誤吞,嗆入氣管或滑進食道。

左圖:X光影像顯示孩子的左邊肺部已經呈現白色塌陷狀態。
右圖:將異物取出後氧氣進入,孩子的左肺部不再塌陷,恢復正常充氣狀態。
花蓮慈濟醫院受花蓮縣衛生局委辦,自四月二十五日起承接COVID-19快篩站,後於五月份設立PCR篩檢站為東部民眾採檢,並在六月份轉型為多功能篩檢站,直到六月三十日宣告退場;前後共64天的時間,串聯花蓮慈院與慈濟基金會將近30個科室的相互協作,動員548人次,提供超過一萬五千人次的患者服務。醫務秘書李毅感恩全院同仁上下一心,在這兩個多月的時間裡互助合作,攜手度過花蓮疫情最顛峰的時刻,如今疫情趨緩,歷時六十多天的篩檢站任務終於畫下句點。
「有一次顧六個病人,其中有三個臥床病人,加上一般照護的話,至少要在裡面待三小時才能出來。」花蓮慈濟醫院專責病房護理師陳韋妮指出,有時尿很急,但一想到她若是先出去,一進一出還得穿脫隔離衣,會花上許多時間,就會先忍著,直到照護完病人才出病房。
器官移植是近代外科醫療最大的突破與奇蹟之一,二零二二年上半年已完成十四例器官移植手術,其中包含六例肝臟移植及八例腎臟移植。六月三十日上午,花蓮慈院舉辦器官移植成果分享會,邀約半個月前剛完成活體腎臟移植手術的夫妻——鄭吟豪與吳宜玲現場分享。
為了守護東部婦女的健康,花蓮慈濟醫院婦產部婦科微創手術中心,6月11日主辦臺灣東部婦產科臨床學術研討會。會議採用實體和線上兩種方式舉行,讓更多不同地區的專家能與會分享,擴大影響範圍,全臺各地共有70位與會者,其中63位醫師、6位護理師和1位藥師來共襄盛舉。由於疫情的關係,除了講師和主持人到現場,超過三分二的與會者都是透過視訊參加,包含來自花蓮、宜蘭和台東的東區婦產科醫療團隊,例如宜蘭陽大醫院婦產科裘志信主任、羅東博愛醫院許漢釧主任和蘭嶼衛生所的黃琦醫師等;其他縣市例如台北、高雄和台南等,例如高雄榮民總醫院婦產部主任劉文雄和台大魏凌鴻教授等。

大部分新冠肺炎(COVID-19)確診者會逐漸好轉,但有一定比例的病人,會出現行動力下降、全身疲倦、呼吸困難、長期咳嗽等症狀仍會持續,甚至出現慢性腎疾病等後遺症,若感染三個月後,症狀仍持續就是長新冠綜合症。花蓮慈濟醫院主責「COVID-19染疫康復者門診整合門診」的感染科主任黃妙慧表示,確診者在四週後仍持續有症狀,建議可視需求就醫治療。
花蓮慈濟醫院2022年6月完成東部第一例雙腎移植,將器官捐贈者的兩顆腎臟,同時移植到一位受贈者身上,花蓮慈院器官移植中心主任陳言丞表示,相較於一般單邊的腎臟移植,雙腎移植手術時長加倍,創口也更大,對手術團隊和受贈者來說都是挑戰。接受雙腎移植的的徐先生洗腎將近二十年,曾歷經腹膜透析和血液透析,如今受贈器官重獲新生,徐先生說:「真的很感恩器捐者,他們都是生命的勇者,是捨身的菩薩。」
隨著3C產品的普及,因為用眼過度導致視網膜退化出現年齡下降的趨勢。花蓮慈濟醫院眼科研究中心承接科技部「前瞻技術產學合作計畫」,與向榮生醫科技股份有限公司攜手合作,共同發展應用異體間質幹細胞為基礎的視網膜退化疾病療法。六月二十三日上午十點,由慈濟醫療財團法人執行長林俊龍、花蓮慈院院長林欣榮與眼科研究中心主任蔡榮坤帶領團隊,與向榮生技董事長蔡意文簽下合作備忘錄。
花蓮慈濟醫院攜手三軍總醫院神經外科團隊,在總主持人林欣榮院長的帶領下,執行開發中新藥 Cerebraca® Wafer治療惡性腦瘤之臨床試驗。林欣榮院長受亞洲神經外科學會會長加藤庸子(Yoko Kato)教授邀請,6月8日晚間8時30分透過視訊,於亞洲神經外科學會分享臨床一期試驗與成果,相關視訊亦將於會後公布於網路串流媒體平台 youtube:https://www.youtube.com/c/Acnswebinars。