花蓮慈濟醫院總顧問暨骨科醫師李宏滿教授,12月3日在台灣醫療科技展專家講座,分享「從『膝』望再生到重返運動 再生運動醫學新契機」,讓更多人了解目前最新的膝關節相關治療及再生醫學治療方式,吸引不少民眾前來聆聽講座。
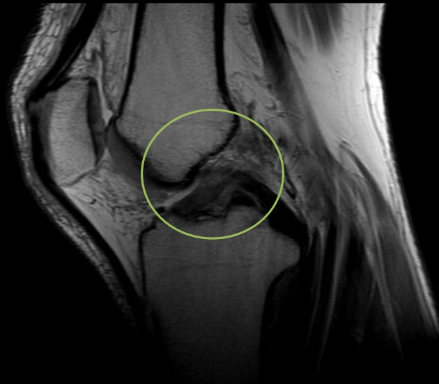
36歲籃球好手李先生,在一次賽中受傷,導致他前十字韌帶斷裂,經過李宏滿教授為他重建韌帶並以再生治療輔助,使用自體骨髓腔濃縮血液(BMAC)注射到受傷的膝蓋上,半年後恢復良好,助他重返球場,繼續籃球生涯。另一位,28歲的運動選手楊小姐,也是運動中導致前十字韌帶斷裂,經過膝關節韌帶重建手術,搭配再生製劑中的脂肪凝膠(SVF)、高濃厚血漿血小板 (PRP)治療,術後3個月,韌帶明顯癒合良好。
李宏滿教授表示,使用一般重建手術的恢復期較長,約需要10個月至一年的恢復時間,才能讓受傷的運動員回到場上,但是手術結合再生醫學,利用細胞中富含的生長因子及細胞激素,有抗發炎、免疫調節等功能,使組織再生、改善疾病及傷口的癒合速度、品質等,能幫助受傷的選手提前回到賽場上,繼續發光發熱。
退化性關節炎、韌帶斷裂等病人,除了中西醫復健合療、冷熱敷、輔具、減重、運動物理治療、營養品補充等治療外,隨著精準與再生醫學的進步,可以選擇的治療方法也變多,李宏滿教授說,目前還有生物製劑生長因子運用在膝關節再生、骨髓腔抽取濃縮血液用於外傷(退化)性關節炎、術後脂肪凝膠合併高濃厚血漿血小板治療、間質幹細胞注射等療法可使用,已有多位國手運動員在他的治療下,順利回到運動場上。
李宏滿教授提到,花蓮是體育大縣,不希望年輕選手因為受傷就斷送了運動生涯,所以花蓮慈院團隊將利用再生運動醫學外,也結合運動醫學中心,延續偏鄉選手運動生命,幫助他們重返榮耀之路。
花蓮慈院以再生醫療及基因治療為目標,於2004年成立基因暨幹細胞研製中心,目前除了骨髓間質幹細胞的製程已通過衛福部細胞製備場所許可外,也已完成脂肪幹細胞製程開發。李宏滿教授分享,他與中心共同研究結果顯示,從病人的骨髓或脂肪上,都可以獲得相當高品質的間質幹細胞,但兩者間仍有特性差異,而這差異是否會影響到病人的治療成效,還需進一步研究,但目前與骨科團隊看見骨髓間質幹細胞,對於退化性關節炎的療效是相當好的,期待未來能與技術團隊繼續努力,提供更高品質的細胞製劑及完整的個人化醫療服務。


圖:花蓮慈濟醫院總顧問暨骨科醫師李宏滿教授,12月3日在台灣醫療科技展專家講座,分享「從『膝』望再生到重返運動 再生運動醫學新契機」,讓更多人了解目前最新的膝關節相關治療及再生醫學治療方式。

圖:李宏滿教授分享的「從『膝』望再生到重返運動 再生運動醫學新契機」,吸引不少民眾前來聆聽講座。

圖:36歲籃球好手李先生術前

圖:36歲籃球好手李先生術後