久咳婦人非典型肺癌難診斷 花蓮慈院胸腔內科精準投藥後改善

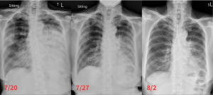
居住在臺東的七十一歲方奶奶因常咳不癒且有大量痰液,疑似難治型肺炎,在當地住院治療一個月,病情無絲毫起色,於二○二三年七月下旬轉往花蓮慈濟醫院。胸腔內科主任林智斌醫師問診後,懷疑病人的疾病並不單純,經切片檢驗結果確為肺腺癌,隨即以標靶藥物治療。目前病人已恢復穩定,返家休養。

花蓮慈院推動住宿型機構安寧 與門諾護家為病人圓夢

望著「加拿大黃刀鎮極光-感受零下二十八度」,零下四十二度的體感溫度再現記憶;「這是武俠小說黃山光明頂」……,五十五歲癌末安寧病人蔡文娟眼睛亮了起來,花蓮慈濟醫院負責照護門諾壽豐護理之家安寧病患的居家護理師鄧淯勻說,文娟真的很努力的面對身體變化,也在言談中展現她的樂觀跟智慧,就像她過去的人生經驗一樣,走遍很多的地方,累積了很多的正向能量,這些都是值得分享的美好回憶。

花蓮慈院量身打造增肌減脂計畫 助同仁找回健康體態

為了促進職場同仁健康,花蓮慈濟醫院營養科推動同仁減重班計畫從2010年至今,每年幫助100位BMI>24 體重異常的同仁減重,並在2021年起與老年醫學科合作,以 168 間歇性斷食法,配合身體組成分析儀分析個別化的不同,調整飲食成分減重法之外,今年還運用了熱量計算 APP、中醫耳穴療法抑制食慾,讓學員平均每人體重減少1.8公斤、體脂肪重量平均減少了1.4公斤。

花蓮慈院全人醫療篩檢活動 跨團隊守護偏鄉全年齡民眾健康

花蓮慈濟醫院與秀林鄉衛生所、慈大護理學系合作,於九月十五日下午舉行整合篩檢活動,由中醫部、牙科部、復健部、護理部、影像醫學部、兒童發展復健中心、癌篩中心團隊,提供耳穴健檢、失智長者衛教、長者運動、健康餐盤、四癌篩檢、肺結核篩檢、口腔篩檢以及兒童發展評估、胸部X光攝影等衛教及篩檢服務。花蓮慈院護理部副主任葉秀真表示,團隊結合疾病、用藥、菸檳衛教等宣導,以提高健康識能為目的,期望將健康觀念更加深入地帶入民眾的日常生活中。

預防流感 花蓮慈院公費流感疫苗開打

流感好發季節即將來臨,花蓮慈濟醫院在10月2日,正式開始施打公費流感疫苗,首日為65歲以上長者集中施打場次,預計為250名長者接種疫苗,林欣榮院長表示,秋冬季節是流行性感冒的高峰期,接種疫苗是預防流感的有效方法,可減少流感併發重症風險、降低死亡率,呼籲民眾都能來接種流感疫苗。 

肝臟移植可治肝癌 花蓮慈院器官移植中心傳美事:女兒捐肝成功救父

二○二三年四月,六十歲的徐生先因罹患肝癌,被診斷僅剩肝臟移植是最後有效治療方案,自區域醫院轉至花蓮慈濟醫院一般外科,與家人共同接受評估,所幸大女兒成功配對捐肝。花蓮慈院器官移植中心主任陳言丞表示,經團隊於八月初完成捐贈、移植手術,父女二人恢復狀況良好,如今已雙雙出院返家。

「雙膝反曲」陳團治人醫年會分享 手心向下的幸福人生

國際慈濟人醫年會首日上午,花蓮慈濟醫院名譽院長陳英和與罹患「極重度先天性膝反曲」、透過慈善與醫療團隊合作成功「翻轉人生」的陳團治,在年會上分享「L型腿」少女從用膝窩前行到能夠直立行走的故事。在全場來賓的熱烈掌聲中,陳團治牽著陳院長的手,步履穩健地走上臺,藉由分享重獲新生的經驗激勵更多病友,也帶給所有醫療團隊更大的信心和勇氣去幫助每一位需要幫助的病人。

花蓮慈院中醫OSCE測驗 實境模擬育良醫

花蓮慈濟醫院中醫部於9月17日舉辦「客觀結構式臨床技能測驗(Objective Structured Clinical Examination,下稱OSCE)」,與大林慈濟醫院一起為40位分別在花蓮、臺北、臺中、大林慈院四院的中醫住院醫師進行考試,讓訓練醫師在接受1至2年紮實的中醫臨床訓練課程後,直接面對真實的標準化病人,測試他們在臨床的訓練成果。

「雙膝反曲」陳團治8年後重回花蓮慈院 感動分享「反轉人生」

九年前,來自中國大陸廈門,患有極罕見「極重度先天性膝反曲」,在花蓮慈濟醫院治療成功的陳團治,這星期,牽著先生及兒子的手,雙腿「腳踏實地」的走進慈院回診。曾照顧她的醫療團隊包括陳英和名譽院長、常住志工顏靜曦師姊,林欣榮院長、護理部主管、國際醫學中心團隊,以及已退休的護理長陳玉娟等人,都到靜心悅讀空間歡迎她「回娘家」。

抗生素不是萬靈丹 善用不濫用健康沒煩惱

抗生素不是萬靈丹,濫用抗生素的後果,反而會造成更嚴重的健康問題。為了讓大家正確認識抗生素,9月16日下午,花蓮慈濟醫院感染管理控制室爭取到衛生福利部計畫贊助,並結合了花蓮在地的宏恩、郭乃瑜耳鼻喉科、光鹽與陳耳鼻喉科等四家診所的支持,在遠東百貨花蓮店和平廣場,舉辦「抗生素知多少」衛教活動,吸引了超過兩百位鄉親民眾參與。


來電
 
導航
 
首頁

醫指付 

醫療科