東區職業傷病防治與保護宣導會 團隊守護讓職災勞工重回職場

沒有人希望受到傷病,尤其是工作中發生職業傷病,除了困擾日常生活,更可能影響到工作的狀況,進而對家庭生計造成影響。為了推廣職業傷病診治與職能復健之整合性服務,花蓮慈濟醫院於10月19日,承辦「財團法人職業災害預防及重建中心」之「職業傷病防治與保護宣導會」,邀請東部地區實際執行職災勞工相關服務的醫師、護理師、職業安全衛生管理人員一起參與。

醫師公會表揚在地良醫 花蓮慈院人醫新芽茁壯成靠山

十一月五日晚間,花蓮縣醫師公會舉辦醫師節表揚大會,表揚在地優良醫師與深耕花蓮的資深醫師,包含獲得醫療奉獻獎的梁忠詔醫師在內,花蓮慈濟醫院共有31名醫師獲得表揚,除了黃威翰、羅彥宇、劉淑馨、賴宇軒、王惠生等醫師獲得優良醫師;還有在地深耕超過30年的耳鼻喉科陳培榕副院長、復健醫學部梁忠詔主任、整形外科李俊達主任與鄭立福醫師等資深醫師,仁心仁術的付出獲得肯定;花蓮縣衛生局朱家祥局長也特別表揚了急診部賴佩芳醫師、感染科何愉懷醫師、重症加護內科陳逸婷主任,分別在緊急災難救援與防疫工作上的卓越貢獻。

花蓮慈院發表乾癬新基因突變點 吸引國際乾癬權威簽訂跨國合作

花蓮慈濟醫院皮膚部是東部皮膚醫療的重鎮,也是偏鄉皮膚專科人才培育的搖籃。皮膚部主任張中興教授帶領團隊在2021年發表《歐洲皮膚病和性病科學院雜誌》(Journal of the European Academy of Dermatology and Venereology,JEADV)的論文,首先證實ADAR1單一基因突變在乾癬致病機轉上扮演重要的角色;並受到法國巴黎聖路易斯大學醫院皮膚科教授、國際乾癬醫學會理事長Herv幨och Bachelez的關注,雙方進而開啟國際合作研究。Bachelez教授11月10日首次訪臺灣並於花蓮慈院分享他對乾癬精準治療的展望與最新研究。

復健出奇蹟早一點會更好 花蓮慈院梁忠詔獲花蓮縣醫療奉獻獎

「因為需要,所以我就來了。」帶著妻小從資源充沛的臺北搬到花蓮的梁忠詔,1992年來到花蓮慈濟醫院,致力於復健醫學臨床服務,更在1996年與郭煌宗醫師促成中華民國發展遲緩兒童早期療育協會的成立,現在是花蓮慈院復健醫學部主任,深耕花蓮31年,在今年(2023)獲得花蓮縣醫師公會頒發第十六屆「醫療奉獻獎」的肯定。從花蓮縣縣長徐榛蔚手中接過獎座,梁忠詔主任感恩已故的恩師連倚南教授栽培,梁忠詔說:「只要能把握治療黃金期,就能將遺憾減到最輕。」

吐瓦魯衛生部長參訪花蓮慈院並簽署合作備忘錄 交流中西醫合療成果

吐瓦魯共和國衛生部部長Isaia Taape於十一月十日中午抵花蓮慈濟醫院,與林欣榮院長、許文林副院長、何宗融副院長及多位中醫師座談交流,並由林欣榮院長、何宗融副院長和Isaia Taape部長代表雙方簽屬合作備忘錄。Isaia Taape部長表示,臺灣醫療發展聞名國際,更聽聞花蓮慈院以中西醫合療著名,因此慕名參訪,期望藉由合作,學習中西醫合作模式的精華並帶回吐魯瓦,提供病人更好的醫療服務。

「腸道閉鎖」新生兒驚吐綠膽汁 花蓮慈院小兒科、小兒外科攜手解鎖

2023年8月出生的小寶(化名)還在媽媽肚子裡的時候,就經由產前檢查發現腹部腸道腫脹的問題,當時的婦產科團隊就建議要密切注意後續的發展,結果出生後小寶喝一口奶吐一口,除了完全無法進食之外,還嘔吐出綠色的膽汁,醫師診斷為新生兒腸道閉鎖,經由轉院來到花東地區唯一擁有小兒外科的花蓮慈濟醫院,由小兒部蕭宇超醫師、小兒外科楊筱惠醫師帶領團隊接手治療,術後十二天就康復出院。

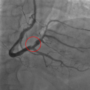
機械式血栓抽吸裝置清除血栓 花蓮慈院團隊救回急性心肌梗塞患者

花蓮慈濟醫院心臟科團隊日前在心導管室成功將一名出現大範圍血栓的急性下壁心肌梗塞患者,從鬼門關搶救回來。心臟內科心功能檢查室主任劉維新指出,患者一度出現心因性休克,急救後仍心跳不穩,不僅裝置葉克膜,最後因使用「機械式血栓抽吸裝置」協助抽出血栓,才成功置放支架;患者目前恢復良好,已順利出院。

花蓮慈濟醫院獲康健雜誌CHR健康企業公民-金獎

花蓮慈濟醫院建院已超過37年,「以人為本」不僅落實在照護病人上,同時在職場環境中,以健康知識、健康活動、健康飲食、健康管理等多項具體措施,全方位照顧同仁的健康;近七年的同仁人數成長將近40%,其中專業人才85%,不僅在專業成就與創新研發屢獲獎項肯定,11月2日更榮獲康健雜誌頒發「第五屆CHR健康企業公民」金獎殊榮,由林欣榮院長出席接受表揚。

創建青銀共好職場 花蓮慈院獲促進中高齡者及高齡者就業暨世代合作績優獎

隨著人口老化、少子化等人口結構改變,花蓮慈濟醫院自2015年起啟動因應措施,積極聘僱中高齡同仁加入,提供同仁身、心、靈的保護,也包含工作、生活、家庭照顧等,讓同仁能健康老化,在11月6日獲勞動部頒發「2023促進中高齡者及高齡者就業暨世代合作績優獎」,林欣榮院長則是獲得績優人員獎殊榮。

眼睛痛視力模糊 竟是非典型的嗅神經母細胞癌

79歲的黃先生兩年來時常感覺眼睛不舒服,原以為是針眼做怪,直到去年8月,突然雙眼看不清,才檢查出是顱底長腫瘤,進而轉到花蓮慈濟醫院耳鼻喉科,經詳細檢查為罕見「嗅神經母細胞癌」,周昱甫副主任與團隊隨即為他進行微創手術,取出6公分大的腫瘤,後續再以電療及化療清除殘餘癌細胞,目前黃先生已恢復良好,只需定期追蹤觀察。


來電
 
導航
 
首頁

醫指付 

醫療科