孩童不慎撞斷新萌發恆齒時不用慌,花蓮慈醫院牙科部牙髓病科主任賴博堂指出,發育中恆牙根尖孔尚未完全閉合,若能在七天黃金治療期內,控制牙髓神經感染並保留健康的牙隨組織和齒質,多數仍能保留恆齒成長潛能。
賴博堂主任指出,牙齒構造由外而內分為牙釉質、牙本質、牙髓腔,牙髓腔內有血管、神經及結締組織,剛撞斷時斷裂處露出紅紅的,就是牙髓組織外露,若以傳統根管治療(抽神經),會使牙根停止發育、齒質變得脆弱,且失去感知;如果能先評估,清理牙髓神經避免感染,仍有機會保留健康的牙髓組織和齒質,也就是保留牙髓活性,讓根管壁繼續發育增厚;這時若能盡快以生物相容性高生醫材料黏合,會有不錯的成功率。
7歲孩童小松是在一年半前不小心把上顎新萌發的恆齒撞斷,經急診醫師會診根管治療科賴博堂主任接手以活髓治療。現在的小松雖然偶爾會因咬到堅硬的食物而使黏上去的斷片掉落,需再重新黏上之外,整顆牙仍保留恆齒成長潛能。
另外,年輕恆齒斷裂後,根尖腫起來,即是牙髓發炎;這時就要看感染程度與牙髓殘存的活性,賴博堂主任表示,若牙髓發炎侷限在牙根管的中、上段時,還是能嘗試活髓治療;若牙髓已壞死至牙根中段以下,就要評估牙髓再生術式。
賴博堂主任說,牙髓再生是在將根管感染控制後,誘導血塊生成至根管內,引導外面的牙骨質與造骨細胞往牙根內生長,使根管壁增厚;這樣也能使齒質結構接近正常,有利於長期的使用。甚至有些患者在追蹤治療一段時間後仍可發現牙髓活性恢復的情形。
賴博堂主任指出,牙髓治療、牙髓再生等治療術式需要特別的材料及更精密儀器輔助操作;因此提醒患者因尋求相關牙髓病專科醫師治療。若以活髓治療、牙髓再生術仍無法獲得改善,就需以傳統根尖成型術,在清創後填充材料至根尖,但此時牙根就會失去加厚與增長的潛能了。


左圖:花蓮院牙科部牙髓病科主任賴博堂醫師表示,發育中恆牙根尖孔尚未完全閉合,若能在七天黃金治療期內,用顯微鏡控制牙髓神經感染並保留健康的牙隨組織和齒質,多數仍能保留恆齒成長潛能。(陳炳宏/攝)
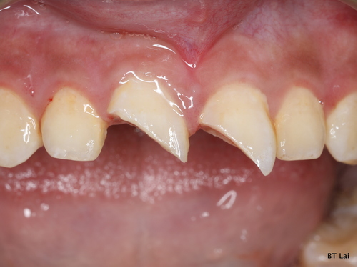
右圖:7歲孩童小松是在一年半前不小心把上顎新萌發的恆齒撞斷,圖為術前照片1。(賴博堂提供)


左圖:7歲孩童小松是在一年半前不小心把上顎新萌發的恆齒撞斷,圖為術前影像2。(賴博堂提供)
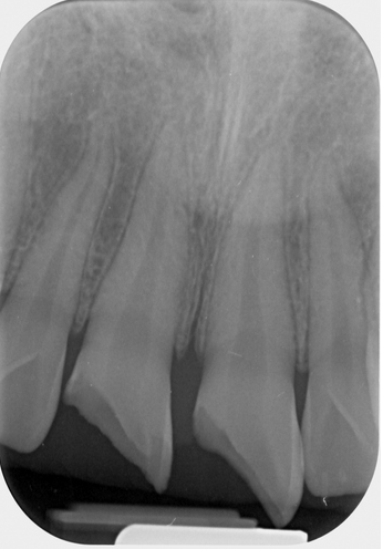
右圖:7歲孩童小松是在一年半前不小心把上顎新萌發的恆齒撞斷,圖為術前X光影像。(賴博堂提供)


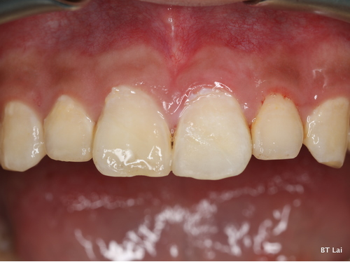
左圖:7歲孩童小松撞斷後一年半後牙齒成長狀況。(賴博堂提供)
右圖:歲孩童小松撞斷後一年半後牙齒成長狀況X光片。(賴博堂提供)
