從健康出發 花蓮慈院引領「花現蔬福」

健康是所有人共同的願望,除了運動跟醫療之外,已經有許多研究證實,飲食也是影響人體健康的重要因素。

花蓮慈院公費流感疫苗開打 保護銀髮族健康

山陀兒颱風來襲,原訂10月1日開打的公費流感疫苗,花蓮縣受影響順延至10月4日開打,花蓮慈濟醫院於協力樓一樓為65歲以上長者舉辦首場集中施打場,今日(4日)上午已有超過160位長者前來接種,下午預計為近百位長者施打疫苗。林欣榮院長表示,流行性感冒來臨,接種疫苗是預防流感的有效方法,可減少流感併發重症風險、降低死亡率,呼籲民眾都能來接種流感疫苗。

攜帶式X光機 前進社區篩檢更便利

花蓮慈濟醫院全人整合式健康篩檢照護團隊拖著的行李箱,看似出門旅遊,但是打開行李箱組裝後如一臺放置在腳架上的大型相機,連結上筆腦及iPad後,立刻化為X光機,提供社區民眾做肺結核篩檢,攜帶方便、就近就能篩檢,讓不少秀林鄉和中社區的鄉親直說「很讚!」。

中西醫精準醫療幫助難罕症病人,花蓮慈濟於首屆全球中醫藥學術大會分享成果

花蓮慈濟醫院院長林欣榮、副院長何宗融9月29日在第一屆全球中醫藥學術大會,以惡性腦瘤、巴金森病、TTN(Titin)基因突變引發罕見肌肉疾病、先天ABCD1基因異常引發腎上線腦白質失養症等為例,分享中西醫精準醫療團隊首創以病人的DNA、RNA去找中草藥與治療成果。

化學性職災預防 東區秋季職場安全衛生研習報你知

勞動部職業安全衛生署北區職業安全衛生中心與花蓮慈濟醫院17日合辦秋季職場安全衛生研習會,並由來自宜花東之企業,近百位職安管理與職業衛生護理師共同參與。研習會中,除由花蓮慈院職業醫學科副主任林純吉與職安署檢查員張崧慶分享化學品對皮膚的傷害與注意事項,以及法規規範與實務作業外,甫退休之職安署副署長朱金龍更語重心長的傳授35年在職安體系的心法,他提醒大家:「安全管理,從心出發」,並肯定花蓮慈院從院長林欣榮到職安室團隊,除落實法規外,對員工身心靈健康照護也朝向ESG永續發展目標進行,是東部的楷模外,也獲得國家職業安全衛生特別健康獎,是所有事業單位學習的對象。

良語良師孕育有溫度的醫療 《以標準化病人為師》新書發表

花蓮慈濟醫院教學部慶祝教師節,9月27日發表新書《以標準化病人為師Honoring the Story of Standardized Patient》,慈濟醫療法人執行長林俊龍、院長林欣榮、慈濟大學副校長陳宗鷹等人在致詞時感恩慈濟志工化身為標準化病人,17年來,扮演病人也扮演家屬,幫助醫學生、年輕醫事同仁在臨床診斷及醫病關係的學習,也祝福他們「教師節快樂」。

配合營養師與個管師 學員平均一個月減重3.1KG

花蓮慈濟醫院營養科針對同仁推出「好飽好飽」減重班,以「442飲食計畫」為減重工具,並透過營養師諮詢與飲食建議、以及個案管理師關懷,經過一個月,成功幫助學員從飲食控制中穫得好成績,平均減重3.1公斤,體脂肪減少1.9公斤。

心蓮旅行社出任務 何美永恆攝影展

「謝謝大家幫我圓夢。」94歲的何美爺爺身著喜氣洋洋的紅色唐裝神采奕奕,但在幾天前,罹患食道癌的他,才因為身體狀況不佳住進了花蓮慈濟醫院安寧病房-心蓮病房,團隊得知何爺爺喜愛攝影並獲獎無數,心蓮旅行社再度出動,9月27日,於心蓮病房為何美爺爺舉辦圓滿人生的攝影展,「何美攝影展-神秘客的美學藝術饗宴 心願•光影•永恆」。

六度相遇第六對 清水之愛囍上加喜

2024年9月,來自高雄的造血幹細胞捐贈者-石昌㨗,懷著「真的可以救人了」的激動心情,與未婚妻從高雄來到花蓮慈濟醫院,準備捐贈造血幹細胞。九年來第六次被通知配對成功,宛如神奇的第六對染色體上的HLA配對成功。將於二個月後結婚的他,臉上滿溢著幸福與期待,同時,這也是囍上加喜,實現他多年來的夢想,「幫助一位需要的病人。」

大脖子症怎麼辦?花蓮慈院導入甲狀腺結節消融治療可免開刀

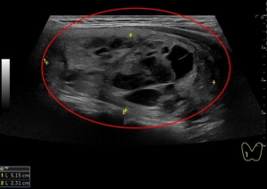
日前,一位51歲女性病人因頸部中間部位腫大來花蓮慈濟醫院影像醫學部施于泰醫師門診,經以超音波檢查,發現右邊有一5.15公分結節,另一個結節靠近甲狀腺峽部約2.99公分;在以細胞學穿刺檢查後為良性結節。病人在接受甲狀腺消融術治療後,隔天即出院恢復正常生活,且一週後已明顯消腫,無副作用發生。


來電
 
導航
 
首頁

醫指付 

醫療科