53歲來自高雄的張女士,去年因左眼黃斑部裂孔,歷經三次手術仍未癒合,視力模糊嚴重影響生活。得知花蓮慈濟醫院有羊膜移植結合高濃度血小板血漿(PRP)療法後,今年1月特別來到花蓮向視網膜科主任何明山求醫,經檢查竟意外發現是極罕見的雙裂孔個案,經治療後順利癒合,張女士一解長期以來的困擾,開心表示終於能回歸日常生活。
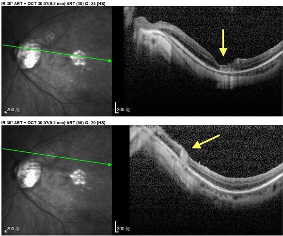
何明山主任在仔細檢查發現,張女士左眼同時有兩處大型黃斑部裂孔,分別為915與939微米,屬於少見的雙裂孔個案。何明山主任表示,得知張女士從過去一例成功治癒巨大黃斑部裂孔的報導中抱著希望,專程來到花蓮就診,針對此特殊情況,何明山主任採用創新雙重療法,以羊膜移植修補破洞,並輔以自體高濃度血小板血漿(platelet-rich plasma, PRP)注射,促進組織修復與裂孔癒合。


左圖:張女士左眼同時有兩處大型黃斑部裂孔,分別為915與939微米,屬於少見的雙裂孔個案。
右圖:張女士經羊膜及PRP雙重療法後,兩處大型黃斑部裂孔順利癒合,張女士一解長期以來的困擾,開心表示終於能回歸日常生活。
手術過程中,何明山主任不僅修補黃斑部裂孔,更同步處理張女士眼中的白內障,術後追蹤顯示兩處破洞皆順利癒合,視力也漸漸改善,讓張女士很開心,終於不用再為視力所苦,而影響到生活。
「這是我行醫多年來首次遇到單眼雙裂孔個案,不僅極為罕見,也很有挑戰。」何明山醫師說,透過創新技術,成功幫助病人康復,對團隊而言是最大的鼓勵,他也提醒,黃斑部裂孔初期症狀多表現為視線扭曲、視覺模糊,但因不會引起疼痛,常被忽略,民眾若有視覺異常應盡早就醫,早期發現、早期治療是保留視力的關鍵。
花蓮慈院眼科部團隊已成功完成2例以羊膜及PRP雙重療法治療大型黃斑部裂孔,透過創新的治療方式,期望提供黃斑部裂孔病人新的治療選擇,幫助他們重見光明,並重拾自信與希望。


圖說:花蓮慈濟醫院視網膜科主任何明山,以羊膜及PRP雙重療法,幫助黃斑部裂孔病人順利癒合。(左圖攝/彭薇勻、右圖攝/鍾懷諠)