六歲蔡小妹(化名)因感染A型流感引發「兒童急性壞死性腦病變(Acute necrotizing encephalopathy of childhood, ANEC)」,造成腦部嚴重受損,昏迷指數低到必須插管,醫療團隊將所有常規治療降低腦壓的藥物都用上了,病況也未見起色。由於病情惡化相當快速,情況危急,花蓮慈濟醫院兒童神經科主任王傳育在與家屬討論過後,使用突破性的「低溫療法」控制嚴重腦炎,成功降低腦壓,讓蔡小妹脫離險境,並於二週後順利出院!

▲花蓮慈濟醫院兒童神經科主任王傳育在與家屬討論過後,使用突破性的「低溫療法」控制嚴重腦炎,成功降低腦壓。

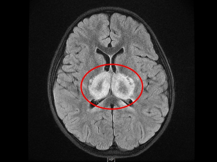
▲蔡小妹核磁共振掃描影像顯示視丘區域發白,即此區塊正嚴重發炎。
「兒童急性壞死性腦病變」是一種死亡率高達六至七成的腦病變,常見症狀包括高燒、嘔吐、快速喪失意識等,即使病人治療後存活,預後也普遍不佳,經常伴有嚴重的神經系統後遺症。蔡媽媽表示,蔡小妹剛開始發燒時意識都很清楚,然而在不到六小時後開始偶爾出現肢體躁動、會亂說話的情形,好不容易自41度的高燒退燒,卻又在半天後出現身體僵硬,以及不自覺咬牙的症狀,於是緊急將她送到花蓮慈院急診,經核磁共振檢查,發現已產生腦部發炎病變典型表現。
蔡小妹從急診入院,不到一天即被轉至兒科加護病房,病況急轉直下,昏迷指數每天都在降低,到入院第四天已掉到剩下六、七分,對外界刺激已幾乎無反應。花蓮慈院醫療團隊第一日便緊急照會兒童神經科主任王傳育和兒童感染科主任何愉懷,透過腰椎穿刺排除腦部細菌感染引起的炎症後,使用高劑量類固醇(每公斤體重30毫克)脈衝治療及免疫球蛋白(每公斤體重2公克)療法;二種療法皆為急性壞死性腦病變的標準治療方式,然而蔡小妹的情況卻沒有好轉且持續惡化,心率一度因腦壓過高掉到每分鐘只剩40~50下。持續標準療法治療一週後,兒科團隊也照會神經外科醫師討論是否可能以手術降低腦壓,但風險評估結果並不適合,只好作罷。王傳育主任表示:「真的所有常規的治療手段都用過了,腦壓還是降不下來,必須要想其他辦法幫助她。」
醫療團隊與蔡小妹家屬都堅決不放棄,在查閱相關文獻並諮詢專家後,王傳育主任提出使用「低溫療法」,希望能改善居高不下的腦壓。低溫療法需讓病患維持二日34度的體溫,到第三日開始以每小時0.2度的速度慢慢回溫,一天回溫1度,直到正常體溫的36度為止,共四天療程。低溫療法並非治療兒童急性壞死性腦病變的標準治療流程,一般適應症為足月產新生兒的缺氧性腦病變,或用於治療一氧化碳中毒、溺水等意外造成的腦部缺氧及創傷性腦損傷(Traumatic Brain Injury, TBI)等。當執行低溫療法後,蔡小妹的生命徵象逐漸穩定下來,腦壓也獲得了顯著的控制,而能陸續撤掉用在身上的各式降腦壓藥物,最後甚至逐步恢復意識到能順利移除呼吸器,從加護病房轉至普通病房。
「解決危急病況只是第一步,後續還有一道道難關要解決,這是個漫長的過程。」花蓮慈院兒科病房主任陳明群表示,蔡小妹剛送至醫院急診時呈現無法說話、嗜睡、癲癇發作、抽筋、血壓下降、心跳偏低卻會時而飆升的狀態,生命徵象非常不穩定,核磁共振掃描影像顯示「視丘」區域發白,即此區塊正嚴重發炎。陳明群醫師指出,視丘是大腦的中繼站和樞紐,無論是感覺神經要將訊息傳回大腦,或運動神經要把指令從大腦傳出,都必須經過視丘轉換神經元傳遞訊號;因此若視丘有嚴重細胞損傷,將會大大影響患者生命健康。

▲花蓮慈院兒科病房主任陳明群指出,視丘是大腦的中繼站和樞紐,若此處有嚴重細胞損傷,將可能會嚴重影響患者生命健康。