極端磨人的皮蛇疼痛帶狀皰疹疫苗可預防

    春天乍暖還寒,常引發各種皮膚疾病,花蓮慈濟醫院皮膚部皮膚一般科暨免疫感染科主任林子凱提醒,小時候感染過水痘的民眾,要提防水痘病毒復發引發帶狀皰疹,俗稱皮蛇。帶狀皰疹造成疼痛,常令病人苦不堪言,建議五十歲以上或罹癌、自體免疫疾病患者等、及免疫力低下高風險族群,可施打疫苗預防。

林子凱主任提醒,帶狀皰疹發生在頭臉部三叉神經,恐影響到視網膜甚至失明。

 

    林子凱主任表示,帶狀皰疹是因感染水痘帶狀皰疹病毒( (Varicella zoster virus))所致,是更早時候感染水痘後,病毒潛藏在脊椎背根神經節,平常免疫力好時沒問題,但遇到免疫力下降時,病毒會從潛伏轉為活化,從神經節沿著神經到皮膚表面傳染出來,皮膚就會發生水泡、紅疹、紅腫、刺痛、燒灼或觸電般的神經抽痛症狀。

 

    長水痘時的水泡通常很癢,但帶狀皰疹發作時,癢感常常並不明顯,但大多很痛,有研究分析不同疾病的疼痛嚴重度,痛楚僅次於女性子宮切除術的神經痛,有時水泡已經乾掉了、結痂了,但是神經抽痛還是一直持續,有時持續數星期、數月、甚至好幾年。

 

林子凱主任表示,帶狀皰疹俗稱皮蛇,常造成疼痛,令病人苦不堪言,建議五十歲以上或罹癌、自體免疫疾病患者等、及免疫力低下高風險族群,可施打疫苗預防。

    曾有一名罹患帶狀皰疹後神經抽痛超過三年的患者,最後只能定期到疼痛科治療,林子凱主任說,這是非常折磨人的病,特別是年紀大的病人,嚴重時痛到整夜無法入眠。

 

    林子凱主任提到,2022年引進臺灣的第二代帶狀疱疹疫苗,是自費疫苗,使用病毒表面的醣蛋白作為抗原,並添加特殊佐劑的基因重組疫苗,防護力在疫苗完整施打後七年仍高達九成。

 

    林子凱主任分析,帶狀皰疹好發部位,包括頭臉部、胸、腹、腰部、大腿部,其中發生在頭臉部三叉神經,恐影響到視網膜甚至失明;如果帶狀皰疹長在臀部,與排泄功能、括約肌功能有關,有可能造成便秘、排尿困難,林主任建議,切勿諱疾忌醫,一有症狀應立即就醫,投予抗病毒藥。

 

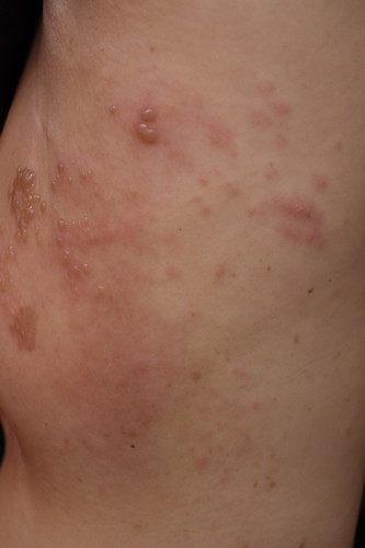
林子凱主任分析,帶狀皰疹好發部位,包括頭臉部、胸、腹、腰部、大腿部,圖為病患胸部。

    林子凱主任建議,除施打疫苗外,預防帶狀皰疹最好方法就是提升免疫力,均衡飲食、充足的睡眠、避免受寒,不宜過度曝曬陽光、減少壓力,都是提升免疫力避免皮蛇上身的保養之道。

 

林子凱主任提到,2022年引進臺灣的第二代帶狀皰疹疫苗,使用病毒表面的醣蛋白作為抗原,並添加特殊佐劑的基因重組疫苗,防護力在疫苗完整施打後七年仍高達九成。

    他也建議兒童(尚未施打水痘疫苗)、孕婦等高危險族群,當同住者有人患有水痘或帶狀皰疹時,務必做好隔離措施,減少家戶感染的機會。


來電
 
導航
 
首頁

醫指付 

醫療科