
「不管是坐著、站著,什麼姿勢都在痛!」63歲的張女士因為背後左半邊疼痛,兩年來看遍各大醫院、診所
,最後在朋友的建議下來到花蓮慈濟醫院,經由心臟內科主治醫師張懷仁的診斷,才發現張女士三條冠狀動脈血管中的左前降支嚴重阻塞,透過心導管檢查並置放兩條支架後,張女士帶著不再疼痛的身體康復出院。
張女士表示,自己左邊肩胛骨處從兩年前開始莫名出現疼痛的症狀,後來一路往上痛到連頭都開始痛,就算吃了止痛藥,也只能暫時緩解一兩個小時,就這樣看遍各大醫院、診所,其中看過神經內科、神經外科、骨科、復健科、腸胃科……等科別,也自費做了MRI核磁共振檢查,還是找不到原因,後來甚至有人建議她要看精神科。張女士說,自己的母親多年前也曾因為背痛,後來被診斷出胰臟癌而往生,所以,自己也很擔心會不會是一樣的問題。
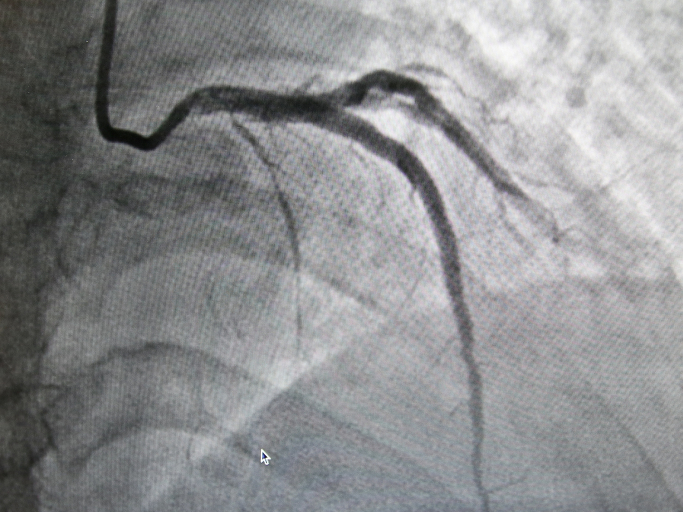
後來在一位同樣有背痛症狀的朋友建議下,張女士找到了花蓮慈院張懷仁醫師。張懷仁醫師表示,一開始很難診斷有心臟方面的問題,但是張女士提到說自己有胸悶的狀況,而且是對話一陣子就要停下來喘氣,讓張懷仁醫師擔心會不會真的是心血管的問題,結果安排心導管檢查後發現,張女士三條冠狀動脈血管中的左前降支,幾乎是完全阻塞,立即為張女士進行治療,並且放置兩條冠狀動脈血管支架。
「做完心導管之後就完全不會痛了。」張女士術後開心的說,真的很感謝張懷仁醫師!沒想到原來自己的背痛真的是「心病」,術後在加護病房與一般病房觀察一天後,張女士就康復出院。張女士也特別感謝丈夫的陪伴,很體貼的遵照醫師指示,不讓她提重物或者做出力的動作,而且24小時的貼身陪伴,不讓她單獨行動,術後一個多月就可以恢復正常生活,還可以到公園運動。
張懷仁醫師表示,從結果來看,張女士心血管阻塞導致單獨背後疼痛的表現,屬於非典型症狀,一般來說心血管阻塞常會有胸悶的症狀,還有可能會發現自己怎麼走一小段路,或是上下一、兩層樓梯就會喘,嚴重時還會影響到日常生活。所以,如果有類似症狀的民眾,建議可以到醫院尋求醫師的協助。另外,如果是突然出現劇烈胸痛、呼吸困難或者冒冷汗的症狀,有可能是急性心肌阻塞,建議要打119求助,盡快接受適當的治療。
