兩歲半的小涵(化名)因持續兩三日的發燒,且不願開口說話、進食,被送往花蓮慈濟醫院就診,檢查發現是深頸部後咽腔膿瘍壓迫所致
,經小兒部張雲傑醫師診斷需盡快動手術,並立刻聯繫耳鼻喉科周昱甫醫師做清創和引流,所幸小涵在術後恢復良好,日前已順利出院。
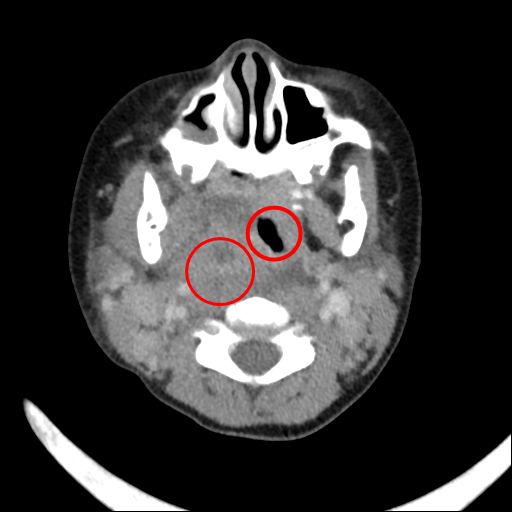
後咽腔膿瘍是深頸部感染的一種,指病患在後咽處長了一個膿包,並且根據膿的位置及大小會引發不同的症狀;深頸部感染非常危險且致命,常見原因包括上呼吸道感染或食道異物損傷等等,使細菌感染並入侵深頸部筋膜間隙,造成頸部發炎及化膿。花蓮慈院小兒部秦家翊表示,「後咽腔膿瘍在幼兒病症中算是急症之一,若未及時治療,膿瘍壓迫到呼吸道,可能造成急喘以及哮鳴聲的現象,嚴重時甚至會引發呼吸困難。」
秦醫師指出,在小涵的咽喉以及膿的培養裡有發現「A型鏈球菌」,一般常見引起急性化膿性扁桃腺炎或細菌性咽喉炎,兒童或大人都有可能被感染。但是像小涵這樣學齡前的幼兒的上呼吸道感染多以病毒為主 (例如腺病毒,EB病毒),致病菌是A型鏈球菌的情況比較少見,大部分是五歲以上的孩子居多,主要治療方式是使用抗生素;但有時候A型鏈球菌引發的病情變化快速兇猛,以小涵為例,在上呼吸道症狀出現的兩三天內就進展到有後咽部膿瘍的情形,需要特別注意。
秦家翊醫師表示,在兒科第一線來說,深頸部感染是急症,需要盡快診斷及處理,「幸好有張雲傑醫師的準確診斷以及耳鼻喉科周昱甫醫師迅速地安排手術,病情才能立即有效控制。」一般而言,若患者是年紀再大一點的小孩或成人,在手術清創引流同時會預防性地做氣切,避免膿瘍引流不順利可能再次壓迫呼吸道,但小涵才兩歲多,氣管也比較小,做氣切也可能會造成併發症,於是醫療團隊決定放置氣管內管並於術後密切觀察。
小涵在送到花蓮慈院的當天晚上開刀後,便住進小兒科加護病房由秦醫師與耳鼻喉科醫師一同照顧,再持續地引流及投入抗生素治療後,抽血的發炎指數、白血球和發燒的情況,都有獲得明顯的改善,也順利拔管。在病況趨於穩定後轉普通病房,日前已康復出院。秦醫師也叮嚀,家中若有孩童發燒、頸部僵硬或腫脹、吞嚥困難、流口水、牙關緊閉、聲音含糊不清等情形,應提高警覺,有可能是深頸部感染,及時送醫,可避免病情進一步惡化。
