「摔下來的時候,我想爬起來,但是手腳都不能動!」。二十九歲的小瑞,工作時發生從高處摔落的意外,被救護車緊急送往花蓮慈濟醫院就醫,經過X光及電腦斷層檢查,發現是第七節頸椎爆裂性骨折,導致四肢無法活動,經過花蓮慈院神經外科醫師洪祥益進行脊髓減壓與人工椎體重建手術,術後預後狀況良好,康復出院。小瑞的家人說,手術後他的手腳就可以動了,我們才真的放下心來。

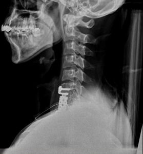
洪祥益醫師表示,當初在急診看到小瑞的時候,因為他的頸椎爆裂性骨折,造成脊髓腔、神經都受到壓迫,一般正常人肌力測試應該是五分,但是當時小瑞的肌力測試只有一分,用一般通俗的說法來說,就是頸部以下幾乎全部癱瘓,而且還伴隨著嚴重的神經痛。所以,第一步就是要先進行脊髓減壓術,清理壓迫脊髓及神經的碎骨,再用鈦金屬人工椎體,進行頸椎重建術。
手術順利成功,術後隔天小瑞就能下床行走,也能自己用湯匙吃飯。小瑞的爸爸表示,當時接到電話通知兒子受傷的時候,還沒想到會這麼嚴重,結果看到兒子整個人癱在床上,才嚇了一大跳。小瑞的爸爸說,我真的很謝謝洪醫師跟所有醫護團隊,如果沒有慈濟醫院,萬一兒子這一輩子都這樣該怎麼辦?
術後隔天恢復生活活動能力,接著觀察一周就康復出院,小瑞跟家人都說,沒想到這麼快就能恢復。洪祥益醫師表示,一般人會以為脊椎在後背,所以,受傷都要從後背開刀,但從神經外科醫師的角度來看,大部分的頸椎問題都可以從前側開刀,而且前側開刀可以不用燒開肌肉,直接進行手術,減少肌肉、神經受損的可能性,除了降低風險也能縮短恢復期。現在小瑞只需要帶著頸圈大約兩個月後,就可以進行輕便的工作,等到六個月後鈦金屬人工椎體跟自體頸椎骨融合,就能恢復正常的生活與工作。
從頸部以下全癱到能自由活動,對小瑞及家人來說是個奇蹟,對很多人來說,小瑞是個很幸運的個案,但是洪祥益醫師表示,要恢復的這麼好,不只是醫護團隊的努力,從意外發生當下周圍的人、緊急救護人員、急診團隊,都非常重要。小瑞說:「還好當時大家沒有太緊張的把我抱起來,而是等到救護車來救我!」
洪祥益提醒,不確定狀況的移動個案,反而可能會造成更嚴重的二次傷害。因為脊椎損傷的原因大多是車禍或者從高處墜落,意外發生後的第一時間絕對不是移動個案!而是要就個案本身周圍,建造出一個安全的環境;再來就是確認個案本身的意識,還有呼吸狀況,萬一有嘔吐的問題,可以讓個案側躺;同時要馬上撥打119請求緊急救護人員的支援。

圖:術後恢復狀況良好的小瑞,包含活動能力與抓握肌力都已經逐漸回復。

左圖:洪祥益醫師表示,大多數頸椎手術都可以用前側開刀的方式進行。
右圖:洪祥益醫師利用鈦金屬人工椎體為小瑞進行頸椎重建。