腦血管栓塞介入治療
一、何謂腦血管?
腦血管是支配顱內前循環之頸動脈、後循環之椎動脈-基底動脈及兩者之顱內分枝。
二、腦血管栓塞介入治療怎麼做?
是一種使用微創不開刀方式,在周邊血管內做栓塞的治療,會在局部或全身麻醉的狀態下進行,我們會經由穿刺鼠蹊處的血管,將導管置入病灶的側頸動脈或椎動脈內,然後將微導管放到病灶的位置,再藉由X光機下的觀察,將栓塞劑放入病灶處,因此不需要做開顱手術,可於較短時間內出院,並降低病灶出血的機率。

圖上為動脈瘤栓塞手術
使用血管支架及將可分離式白金線圈栓塞治療置入動脈瘤內,可大幅降低動脈瘤破裂之機會。


栓塞前眼皮下垂 栓塞後眼皮恢復正常
圖上為腦血管簍管栓塞手術
頭部外傷後頸動脈損傷引起頸動脈及海綿竇簍管,引起病患眼皮下垂及聽到不正常的血流雜音。

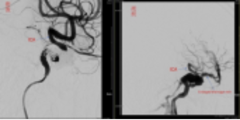
圖上為腦血管簍管栓塞手術
栓塞前頸動脈(ICA)血流經簍管直接流到靜脈竇,甚至倒灌到腦部的靜脈,簍管栓塞後,頸動脈即完整呈現,倒灌的靜脈立刻消失。
問與答專區
一、我有哪些疾病可以來看這個門診?
● 腦血管疾病
例如:腦中風、顱內動脈瘤、腦動靜脈畸形或廔管
二、我可能會有那些症狀?
● 眼皮下垂
● 肢體無力
● 劇烈頭痛
● 抽蓄
● 腦出血
● 聽到不正常血管流動之雜音(耳朵內有嗡嗡/咻咻作響的聲音)
三、我可以掛哪一位醫師來確認我是否適合此治療?
四、門診看診需要知道的事情以及需要準備甚麼?
● 從未在其他醫療院所就診:請直接至本網站掛號,或撥花蓮慈濟醫院語音掛號系統掛號。
● 曾在其他醫療院所就診及追蹤,請備妥以下資料再至本網站掛號,或撥花蓮慈濟醫院語音掛號系統掛號。
□ 目前於其他醫院就診所做的全部影像資料,如:核磁共振影像...等。
□ 其他資料,如:病歷摘要紀錄、用藥資料、基因檢查報告...等。
● 門診依號碼順序看診,若為遠地就醫患者,應注意購買適當班次之交通票券。
