PCHome Online新聞/記者范振和∕花蓮報導 (113/05/16)
一對年輕夫妻因多年不孕,去年底至花蓮慈濟醫院生殖醫學中心接受治療和做試管嬰兒,妻子順利懷孕,沒想到在懷孕第六週回診檢查時,發現子宮內胚囊旁出現血塊,婦產部生殖醫學中心主任陳寶珠建議接受中醫治療,由副院長暨中醫部主任何宗融團隊針灸、艾灸和貼耳豆,一星期後,血塊竟完全消失,不心擔心胎兒流產了。

▲花蓮慈濟醫院婦產部生殖醫學中心主任陳寶珠向陳女士說明治療前後的超音波影像差異。
「聽到醫師說太太子宮裡有血塊,真的有點緊張。」李先生說,從發現有血塊到治療完成,整個過程就像坐雲霄飛車。因婚後二年內始終未能懷上寶寶,夫妻倆最終決定至陳寶珠主任的門診諮詢和檢查,確認符合接受人工生殖的條件,便開始嘗試試管嬰兒。幸運的是,妻子陳女士第一次取卵與植入胚胎即成功受孕,夫妻倆都非常高興,不過,當後續追蹤的孕檢發現血塊可能危及到胚胎,也令陳女士感到焦慮和沮喪。

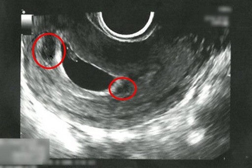
▲陳女士懷孕第六週,透過超音波檢查發現子宮腔內出現血塊(紅圈處)。

▲經過一週的中醫住院治療,子宮腔內血塊已消失,且胎兒順利成長。
陳寶珠表示,胚胎著床後在子宮腔內出現血塊的情況,並非只有做人工生殖的女性才會遇到,普通的受精懷孕也可能發生,目前成因不明,由於血塊存在於腔內,對於胎兒來說是異物,容易使著床的胚胎剝離,造成流產,因此她建議盡速接受中醫治療,讓血塊能夠慢慢自行消散,由母體吸收。
李先生表示,妻子過去從未接受過針灸、艾灸及貼耳豆等中醫治療方式,也很討厭吃中藥,但為了平安留下寶寶,住進中醫病房後不僅積極配合何宗融的治療和處方,更遵醫囑每天盡量減少活動,每日躺在病床上休養。「沒想到一週後檢查,發現血塊都沒了,真的很驚喜!」。
李先生非常感謝陳寶珠的專業建議,她太太也很感恩中醫團隊在住院期間的照顧,感謝何宗融考量到她不習慣中藥苦味的意願,適當地調整中藥方,如今寶寶已成長十二週了,期待得來不易的小生命能夠平安長大、順利出生。
