
慢性下腹痛是困擾許多女性朋友的煩惱,有時候就算吃了止痛藥或抗生素還是解決不了,所以,花蓮慈濟醫院婦產部引進體外震波儀,透過非侵入性的體外震波物理治療,來解決造成女性下腹痛原因之一的「骨盆底肌肉筋膜炎」(Myofascial Pelvic Pain Syndrome, 簡稱MFPPS)。花蓮慈院婦產部婦科主任兼婦科微創手術中心主任龐渂醛表示,造成女性下腹痛的原因很多,最容易被忽略的就是骨盆底肌肉筋膜炎。
許多女性朋友都誤以為下腹痛就是經痛造成的,但是常常月經來的時候會痛,月經沒來的時候也痛。龐渂醛主任表示,女性慢性下腹痛的原因,可能是很複雜的狀況或源自於各種各樣的疾病,包含內膜異位症、巧克力囊腫、骨盆腔發炎…等等都有可能,因此診斷MFPPS過程需要更多的耐心和專業。而女性骨盆底肌肉筋膜炎MFPPS,是很常見但卻經常沒被診斷出來的病症。
罹患MFPPS除了會反覆性下腹痛以外,往往還會伴隨著頻尿、性交疼痛等症狀,臨床上常常嚴重到影響病人的情緒、工作表現、性生活、生活品質、甚至人際關係。大多數MFPPS的病人,常被當作骨盆腔發炎、內膜異位症或是膀胱過動症或是小便感染來治療,所以,治療效果很有限,而且還可能會吃下不必要的抗生素或其他藥物。
MFPPS是經年累月造成的慢性病,例如長期站立負重、先前骨盆受傷或挫傷、生產裂傷等都可能造成MFPPS。另外,短期內過度的劇烈運動,或者短時間內頻繁的爬山,或者長時間用下半身用力,都有可能造成MFPPS。龐渂醛主任表示,之前就遇到一位牙醫師來求診,說自己腹部長期疼痛,吃了止痛藥也沒辦法改善,經過詳細問診、超音波及內診檢查,才發現這位牙醫師在看診時,為了調整病人位置,以及控制牙科器材,常常需要單側踩踏踏板來做控制,長期下來就造成了骨盆底肌肉筋膜炎的發生。輾轉看了很多婦產科和泌尿科醫師都沒有解決她的問題,最後經龐主任診斷為MFPPS才得以大幅改善病痛。
龐渂醛主任表示,MFPPS不但經常沒有被診斷出來,其實治療的選擇也相當有限,而且療程至少需要6到8周,有些嚴重的病人,甚至可能需要3個月的療程,才會慢慢康復。而MFPPS的治療分為兩類:
(1)藥物治療:急性期可以經陰道施用局部消炎藥、肌肉鬆弛劑和止痛藥,來放鬆骨盆底肌肉。再補充一些肌肉筋膜修復所需的維他命或營養,降低再復發的機率。若是頑固型MFPPS,就需要侵入性的藥物注射治療才能改善。
(2)物理治療:A.溫水坐浴,避免做凱格爾骨盆底肌肉強化的運動,以避免刺激骨盆底肌肉收縮,惡化病症;B.體外震波:可讓深部骨盆肌肉有效放鬆並解除症狀。
體外震波儀是一台可輸出電磁震波的復健儀器。透過探頭的弧形矽膠作用的轉換,可將震波聚焦,同時調控震波脈衝長度,來治療不同深度的痛症區域。對女性慢性骨盆疼痛症候群或骨盆底肌肉筋膜炎的病人來說,治療只需要在會陰部表面施打震波即可得到改善,屬於體外非侵入性的物理治療,治療時一般只會有短暫的酸痛感。龐渂醛主任表示,做完完整的療程(6-8次),約八成的病人會有改善,約六成的病人會有明顯改善。
體外震波儀治療「骨盆底肌肉筋膜炎」(簡稱MFPPS),只需要在外陰部進行非侵入性的震波治療。
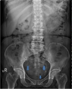
花蓮慈院婦產部婦科主任兼婦科微創手術中心主任龐渂醛表示,臨床上,有些病人可以從腹部X光發現可見鈣化點(藍箭頭白點),這是慢性發炎的證據。
撰文者:黃思齊
報 導:花蓮慈濟醫學中心



