紀錄:彭薇勻於2020/07/09 PM 02:46

圖說:來自寮國的鼻竇癌板太太與臀部罕見血管畸形女孩小班克,歷經六個月的時間,花蓮慈濟醫院透過醫療援助,讓他們重獲新生
2018年7月23日寮國東南部阿速坡省(Attapeu)一座興建中的水壩坍塌潰堤,蓄水傾瀉影響下游多個村莊,造成六千多人受災,一千多人失踪。慈濟基金會立即組成勘災團隊前往評估,自此積極展開於寮國的慈善發放工作,並在隔年2019年8月,於寮國百霜舉辦首次大型義診。在慈濟義診中發現兩例嚴重的罕見個案,12歲的班克,右腿罹患血管畸形,影響行動自由;另一位53歲的板太太則是確診鼻竇癌,腫瘤持續增生造成顏面變形。兩人在慈濟基金會與花蓮慈濟醫院的協力安排下,同時於2019年10月來花蓮慈濟醫院求診,接受治療。歷經六個月的時間,花蓮慈濟醫院籌組跨科別醫療團隊,逐步移除病灶、巧手重建,透過醫療援助,幫助他們恢復人生。
左圖:經歷腫瘤與重建手術治療後,板太太(左三)終於露出難得的笑容與曾經照顧過她的醫療團隊合影
右圖:因新冠肺炎疫情無法親自來台的寮國占巴塞省衛生廳廳長萬那賽,也透過視訊連線感謝慈濟基金會及花蓮慈院的醫療團隊
7月9日上午,花蓮慈院林欣榮院長與慈濟基金會劉濟雨副執行長,以及鼻竇癌板太太的主治醫師陳培榕副院長、臀部罕見血管畸形的女孩小班克的主治醫師整形暨重建外科主任李俊達,與外科醫學發展中心主任賴鴻緒教授、外科部主任張睿智、國際醫學中心主任李啟誠,影像醫學部、血液腫瘤科、麻醉部、放射種瘤科等醫療團隊與護理團隊,與寮國華僑翻譯志工團隊、顏靜曦師姊,皆出席祝福兩位寮國個案歡喜出院。因新冠肺炎疫情無法親自來台送上祝福的寮國占巴塞省衛生廳廳長萬那賽,也透過視訊連線感謝慈濟基金會及花蓮慈院的醫療團隊,讓板太太及小班克重獲新生。慈濟基金會劉濟雨副執行長表示,慈濟在寮國鄰近的五個國家,包含越南、柬埔寨、泰國、中國大陸、緬甸,都已經深耕在地近二十五年的歷史,但與寮國則是在2018年9月以前幾乎是零互動,加上當地少有慈濟志工,只有因援助水患災民而結緣的華商與泰國慈濟志工支援,當時為了幫罹患鼻竇癌的板太太、先天血管畸形病人小班克兩位寮國病人與家屬辦理護照與簽證,就花了不少時間與心力。幸好,順利將兩人接來臺灣接受治療。
對抗巨大鼻竇癌 板太太變臉大改造

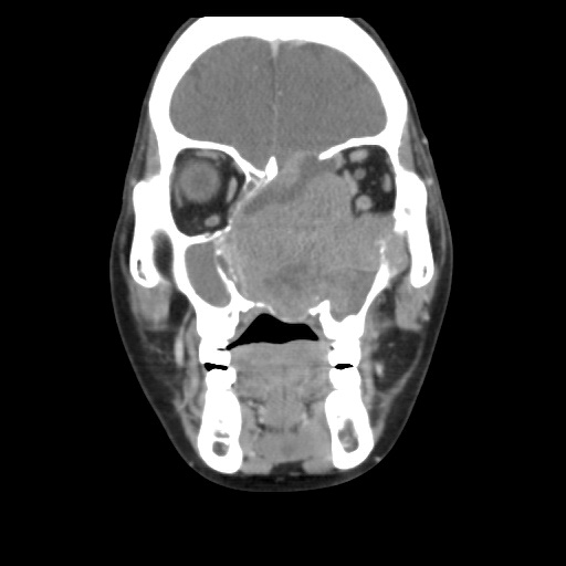
圖說:53歲的板太太確診鼻竇癌,腫瘤持續增生造成顏面變形
「在寮國即使生病想看醫生得翻山越嶺,經濟上也負擔不起,病了好幾個月,忍耐已經成了一種習慣。」2019年5月,板太太臉上的腫瘤大到甚至影響到呼吸,才在當地醫院檢查,被診斷是罹患了鼻竇癌,並接受內視鏡手術,取出部分腫瘤。板太太說,沒想到手術後才短短三個月的時間,腫瘤增生的很快速,不僅堵住鼻腔,且巨大腫瘤甚至侵蝕了鼻中膈,導致對側鼻腔空間也受到擠壓,造成雙側鼻塞,鼻孔不時化膿、流出血水,散發出難聞的味道,不只影響到呼吸功能,就連左眼視力也逐漸變得模糊,頭也會不時感覺脹痛,真的相當辛苦。「鼻竇癌是比較少見的一種頭頸癌,在頭頸癌之中比率不到百分之五。」板太太的主治醫師耳鼻喉科陳培榕副院長表示,病理切片檢查結果發現,這是組織細胞型態較罕見的神經內分泌癌,腫瘤大小約七*八*六公分,不僅位置非常深且涵蓋範圍很大,包括腦部顱底、腦膜、雙側鼻腔、左上頜竇及左眼窩內側等重要部位,且顱底的腫瘤有持續向上生長近入顱內壓迫腦部的狀況,外觀也因腫瘤將眼睛和鼻子擠壓變形。
圖說:板太太歷經一個半月、三次的引導式化療起先腫瘤壓迫顱底、鼻腔和眼睛的狀況,在化療後都獲得控制,甚至明顯縮小至約五公分
經過陳培榕副院長與血液腫瘤科王佐輔主任討論後決定先進行引導式化療,先把腫瘤縮小,進而能達到開刀及輔助性的放射治療。陳培榕副院長表示,板太太在第一次引導式化療後,腫瘤明顯小了很多,讓醫療團隊更有信心。歷經一個半月、三次的引導式化療,幸好並沒有出現嚴重的化療副作用,起先腫瘤壓迫顱底、鼻腔和眼睛的狀況,在化療後都獲得控制,甚至明顯縮小至約五公分。2020年1月22日,耳鼻喉科團隊由陳培榕副院長與楊妙君醫師聯手,俐落的刀法,細細避開重要血管,且以新技術克服出血問題。陳副院長說:「外頸動脈是將血流帶到顏面及鼻子的主要血管,為了避免術中的出血量過多,所以使用『血管帶』束縛外頸動脈這種新技術,不把外頸動脈綁死、只是束緊一點,出血量可以減少約500到700c.c,提升手術的視野,看得清楚腫瘤的邊緣能將腫瘤切得愈乾淨。」陳培榕副院長表示,近十幾年來,花蓮慈院大約完成近十例的顏面巨大腫瘤個案,其中包含馬來西亞的惡性腫瘤「皮膚纖維肉瘤」患者與菲律賓的「牙骨質纖維瘤」患者都是使用這項新技術,無論是腫瘤移除與顏面重建整形,患者的預後都相當好。
左圖:板太太的主治醫師耳鼻喉科陳培榕副院長(右)為她做檢查。
右圖:在放射腫瘤科許文林副院長的照顧下,板太太完成三十三次的放射線治療。
「臉上沒有腫瘤,我終於可以大口呼吸、吃飯了。」小小的心願,對板太太來說,曾經是遙不可及的夢想。在花蓮慈濟醫院經歷腫瘤與重建手術治療後,板太太接著接受三十三次放射線治療、兩次的化學治療,原本的她都用一塊布遮住臉不敢見人,如今面部恢復平整,板太太也終於露出難得的笑容,除了家人的付出,真的很感謝 證嚴法師創辦花蓮慈院,醫師、護理人員的治療,還有治療期間翻譯志工的陪伴。「這是一個醫師無法完成的複雜手術,是需要團隊的力量一起成就。」林欣榮院長表示,為了幫助兩位寮國個案找回新生,花蓮慈院醫療團隊化不可能為可能,挑戰第四期的鼻竇癌與嚴重的動靜脈血管畸形瘤,內心有莫名感動及喜悅,除了可以幫助最需要的人,也很開心能夠與國際分享臺灣醫療,讓世界看見「慈濟can help」!
相關連結: 放射腫瘤科許文林副院長 耳鼻喉科陳培榕副院長 血液腫瘤科王佐輔主任
