花蓮慈濟醫院以打造無圍牆醫院為目標,長年致力於翻轉偏鄉醫療,結合資通訊科技產業,以全人全程概念導入社區醫療服務,近三年來陸續在花東二縣布建完整的遠距醫療與照護整合模式,包括專科會診、生理量測、傷口照護以及安寧照護等,打破狹長地域限制,已造福無數東部偏鄉居民。「健康福祉科技整合照護-打造沒有圍牆的醫院」專案執行成果,更獲得國家生技醫療產業策進會第26屆SNQ國家品質標章認證。
花蓮慈濟醫院推動國際醫療成效卓越,不僅參與衛生福利部新南向計畫,在中國大陸、港澳、菲律賓、印尼、馬來西亞、新加坡、越南等地都有花蓮慈院國際醫療服務的足跡。1月9日林欣榮院長與花蓮在地君達育樂事業董事長尹純綢簽署合作意向書,打造「國際健康管理平台」,提供海外民眾醫療諮詢、就醫規劃、休閒養生等服務。

圖:花蓮慈院與IFOAM國際有機農業聯盟會成員君達集團合作,雙方在秧悅美地度假酒店舉辦MOU簽署儀式,多位貴賓與旅遊相關產業代表蒞臨到場見證。


圖說:1月9日花蓮慈濟醫院院長林欣榮(右)與花蓮在地君達育樂事業董事長尹純綢(左)簽署合作意向書,打造「國際健康管理平台」,提供海外民眾醫療諮詢、就醫規劃、休閒養生等服務。
這次與IFOAM國際有機農業聯盟會成員君達集團合作,雙方在秧悅美地度假酒店舉辦MOU簽署儀式。交通部觀光署副署長林信任、立法委員傅崐萁、衛生局局長朱家祥、觀光處副處長林加昌、縣議會副議長徐雪玉、吉安鄉鄉長游淑貞、花東縱谷國家風景區管理處處長郭振陵、慈濟基金會副執行長劉濟雨、花蓮慈院國際醫學中心主任李啟誠、預防醫學中心主任葉日弌、慈濟大學國際學院院長林光慧、君達集團總監尹秋明、副總經理時求新、台灣觀光協會副秘書長陳家祥及多位旅遊相關產業代表到場見證,並由李啟誠主任、時求新副總介紹雙方特色。
近年來經過科學實證,歷經傳承的中醫獲得全球肯定,幫助許多民眾度過疫情與疾病困擾,為了提升醫療品質,1月16日上午,致力於推動中西醫合療的花蓮慈濟醫院,與在醫療科技領域成就卓越的智順科技股份有限公司,簽署產業合作備忘錄,要攜手共同推動中醫相關醫療科技。
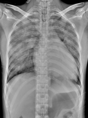
十八歲鄭小姐因周產期心肌病變導致心臟衰竭和肺水腫,在治療期間突發心律不整,二度心臟驟停,雖然急救後恢復心跳,但心臟各項數值表現仍相當不樂觀,花蓮慈濟醫院心臟內外科團隊運用葉克膜和心室輔助器爭取時間,維持心肺功能的正常,並持續悉心照護,鄭小姐的病況很快恢復穩定,在急救後十天移除心室輔助器,二十一天後出院返家,目前心臟功能幾乎已回到生病前的狀態,重返育兒新生活。

圖:鄭小姐裝上葉克膜六小時後,胸腔X光影像中肺部幾乎呈白色,肺水腫嚴重且心臟明顯擴大。

圖:鄭小姐出院後第二次回診檢查,胸部X光影像顯示肺部與心臟已恢復正常。
元月14日是醫檢師節,花蓮慈濟醫院檢驗醫學科團隊日前在大廳舉辦「醫起檢健康-咳不容緩」衛教講座,主題與近期流行的肺炎黴漿菌及其他常見的呼吸道病毒相關;希望讓民眾更清楚相關檢驗項目及應注意事項。
醫療團隊用專業守護民眾的健康,其中的醫事檢驗團隊則是用科學實證成為醫療最堅強可信的後盾。花蓮慈濟醫院副院長吳彬安表示,花東地區地廣人稀,加上交通不便的因素,導致醫療資源分布不均,為了縮短民眾等候時間,同時提供高品質的精準檢驗服務,花蓮慈院檢驗醫學科推動E檢好事通專案,承擔守護鄉親健康的使命,並且連續兩年獲得SNQ國家品質標章的肯定。

花蓮慈濟醫院在花蓮縣秀林鄉衛生所開設「秀林鄉衰弱整合性評估門診」已超過一年,今年1月起加入了咀嚼吞嚥健康中心團隊,由語言治療師針對衰弱長者常見的口腔衰弱與吞嚥能力進行評估,以一站式的服務守護偏遠地區長者的健康。
基因嵌合T細胞治療( Chimeric Antigen Receptor T-cell;CAR-T)是近年來癌症治療中重要的新武器,但是昂貴藥費對於許多病人來說,是個難以跨越的難關,中央健康保險署在2023年 11 月,宣布將CAR-T細胞治療藥品Kymriah納入健保,每年有望嘉惠近百位急性淋巴性白血病、瀰漫性大B細胞淋巴瘤的病人。2024年1月2日,花蓮慈濟醫院為全臺灣第一位健保給付CAR-T治療受惠的瀰漫性大B細胞淋巴瘤病人-張女士,進行CAR-T細胞輸注。
為了提升高齡暨社區醫學部的教學與研究量能,以及協助長期照護部提供更高品質的照護服務,花蓮慈濟醫院於去年底成立「健康長壽中心」,並在十二日上午舉辦啟動儀式。活動特別邀請到在高齡醫學領域深耕已久、位列世界前百分之二專家的臺北市立關渡醫院院長陳亮恭,蒞臨分享過去在臺北榮民總醫院及陽明交通大學多年的高齡醫學研究歷程,期望透過經驗交流與學習,能使健康長壽中心更進一步發展,造福更多東部民眾。

圖說:花蓮慈濟醫院於一月十二日舉辦「健康長壽中心」啟動儀式。
花蓮慈濟醫院中西醫合療研究發展中心團隊自中藥材「龜鹿二仙膠」中,分離且鑑定出能夠促進硬骨細胞增生的胜肽片段,並以化學合成的方式確效,此「改善骨質疏鬆與膝關節退化胜肽製劑的開發」研究成果,榮獲第20屆國家新創獎「學研新創獎」殊榮。由副院長何宗融教授與研究發展中心副主任暨慈濟大學醫學系生化學科陳灝平教授代表團隊接受表獎。

圖說:花蓮慈院中西醫合療研究發展中心「改善骨質疏鬆與膝關節退化胜肽製劑的開發」研究成果,榮獲第20屆國家新創獎「學研新創獎」。