
短髮齊肩,身材單薄而消瘦,總是穿著裙子或是與身形不符的寬鬆大褲子,睜著一雙水汪汪大眼睛的小女孩,眉間卻有淡淡的憂鬱與不安
,她是SOMSAKSY PANEKHAM(醫護團隊暱稱她為小班克),今年十三歲,來自寮國,原是與朋友追逐嬉戲的年紀,卻飽受「動靜脈血管畸形」及「微血管畸形」所苦,讓小班克很自卑。
家在寮國百霜縣的小班克與父母、十歲的弟弟、八歲的妹妹一起同住,一家人的收入來源,全倚靠爸爸SOMSAKSY SOUK(阿肅)種植咖啡為生,一整年的收入扣除生活所需,家中只能負擔身為姊姊的小班克上學唸書,經濟上就已經很吃緊了,還得支付每次小班克就醫的龐大費用,但家中經濟無法支應,只能中斷就醫。貧困的生活環境,讓小班克比同年齡的孩子懂事,儘管腿上長了巨大腫瘤,家務都是她一手包辦,在父母親忙於農務時,還會肩負照顧十歲的弟弟與八歲的妹妹。
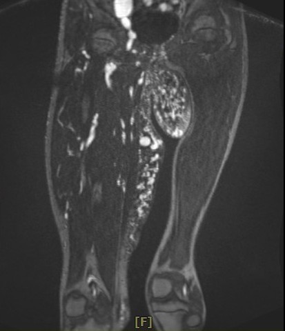
爸爸阿肅表示,小班克從出生時,就發現鼠蹊部處有一點一點如豆子大的紅色凸起點,不會疼痛,直到她三歲時,紅色點點逐漸變大;七歲時,開始感到紅腫疼痛,而且動靜脈血管畸形及微血管畸形開始擴散,遍布右側大腿至臀部,並腫脹得比左大腿還要粗上兩倍。
其中動靜脈血管畸形腫瘤已成為拳頭大小,垂掛在鼠蹊部與右腿間,已經影響到如廁及行動。而右臀部下方因為摩擦產生了小傷口,儘管擦了當地醫師開立的藥膏,傷口在走路時的反覆摩擦下,卻始終無法癒合。爸爸心疼的說,小班克出生後就因為雙腿間的腫瘤及覆蓋在右側大腿上的大面積「紅色胎記」,讓她的成長過程相對辛苦,不捨孩子的堅強,對於小班克也會給予特別多的關愛。
得知慈濟將在百灀醫院舉辦義診的爸爸阿肅抱著一線希望,帶著小班克前來,經過人醫會醫師評估及慈濟基金會劉濟雨副執行長與醫療團隊協調,在二○一九十月二十九日,跨海來到花蓮慈院由整形暨重建外科主任李俊達收治。爸爸阿肅表示,鄰居得知我將千里迢迢帶著孩子到人生地不熟的地方就醫,都提醒我小心,不要被騙,面對這些話語我不為所動,因為一年前寮國水患,慈濟曾來勘災發放,如今又來義診,所以我相信慈濟。
爸爸阿肅說,在這次在慈濟基金會、人醫會的幫忙下,有幸從寮國來到花蓮慈院治療,希望班克可以趕快好起來,能像其他同齡的孩子一樣,活潑自由的奔跑,不再因為腫瘤而感到自卑。
◎人醫群策妙手妙法


小班克患有罕見的「動靜脈血管畸形」合併「微血管畸形」,正好二○一九年十一月二日是花東地區血管瘤義診,由「臺灣血管瘤治療權威」國泰醫院整形外科陳明庭教授、臺大醫院整形外科主任戴浩志、李俊達主任等等醫師團隊組成,李俊達主任也藉此機會,帶著小班克一起來參加,醫師們針對她的腫瘤狀況,商討治療的方式。
小班克雖然有爸爸、慈濟志工符玉鸞、翻譯志工陳碧玲等人的陪伴,但面對一連串的X光、磁振造影、血管攝影等等檢查,不免還是會不安。尤其是在影像醫學部張寶源醫師為小班克進行血管攝影檢查時,沒有做過相關檢查的她,半身麻醉的疼痛與緊張,導致她過度換氣,為了安撫班克的情緒,醫療團隊除了趕緊請爸爸阿肅穿上鉛衣進到攝影室裡陪伴,並透過手機播放與寮語相近的泰文歌曲,幫助班克放鬆心情,終於讓她情緒緩和,順利地完成血管攝影檢查。


小班克的所有檢查順利完成,十一月六日,在陳培榕副院長的召集下,召開醫療團隊會議,由陳培榕副院長召集整形暨重建外科、影像醫學部、放射腫瘤科、護理部等醫療團隊,以及社會服務室主任與顏靜曦師姊,並邀請基金會劉濟雨副執行、宗教處同仁協同參與。陳培榕副院長表示,透過血管攝影檢查,發現小班克右腿的動脈與靜脈沒有經過微血管就直接相接是「動靜脈畸形」,這是最不容易處理狀況。
李俊達主任表示,小班克除了腿間的動靜脈畸形瘤,在下腹部、鼠蹊部、大腿大部分是動靜脈畸形,也是造成右大腿腫大的原因。而大腿深部的動脈與靜脈連接在一起,加上包覆大腿皮膚表層的微血管畸形面積很大,若使用雷射方式移除,得進行十次以上的雷射手術,還可能引起大出血;另一種治療方式則是使用栓塞手術,但可能會造成皮膚潰爛或引起併發症,若要全部移除是較為困難。
為了找出適合小班克的治療方式,李俊達主任及整形外科團隊也與陳明庭教授、戴浩志主任、臺大醫院影像醫學部腹部影像診斷科梁博欽主任多次討論,決定在十二月六日先與梁博欽主任一起為小班克進行血管栓塞手術,並請麻醉部疼痛科主任王柏凱協助,讓小班克在全身麻醉的情況下進行,以降低小班克的恐懼,李俊達主任說,目前影響小班克最大的是位於鼠蹊部的腫瘤,透過血管栓塞手術減少腫瘤的血液供給量,讓移除腫瘤術式能進行的更順利,也能避免失血過多的情況發生。
