來自苗栗縣的81歲的郭奶奶,因腰痛、腿痛和腿麻嚴重影響行走能力,僅能靠輪椅代步,四處求醫無法改善,到花蓮慈濟醫院林欣榮院長門診,經核磁共振造影檢查發現有嚴重脊椎側彎及腰椎滑脫,轉介神經脊椎微創外科主任洪祥益。經謹慎評估風險並與家屬討論後,以微創融合手術治療,患者於術後隔天即可下床,順利擺脫輪椅,重回自如行動的生活。

左圖:經X光檢查發現郭奶奶腰椎滑脫。
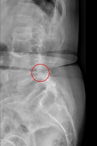
右圖:磁振造影顯示腰椎滑脫後因骨刺壓迫造成神經狹窄。
高齡患者因心血管功能普遍衰退,手術時容易出現血壓下降及心律不整等麻醉風險;若高齡患者的肺功能不良,還可能造成血氧交換不佳、肺炎或肺塌陷。洪祥益主任最初以保守治療為主,但患者認為僅靠服藥的保守治療無法完全緩解疼痛,平日只能坐在輪椅上,令她十分沮喪,她希望能徹底解決疼痛問題,回到過去能夠自行出門散步、遊玩的日子。
經考慮患者意願,在與家屬溝通後,由麻醉團隊為患者安排心臟超音波、頸部超音波、神經傳導等檢查評估風險,洪祥益主任帶領團隊於十月底為患者進行微創腰椎融合手術,利用釘子將滑脫的脊椎矯正歸位,並把骨刺清除乾淨。 洪祥益主任指出,傳統手術需要將肌肉剝離,傷口較大、術後恢復較慢,手術感染風險較高,且因手術傷口疼痛,病人往往無法立刻下床行動,需要臥床休養,對於高齡患者而言,長時間的臥床還可能引起肺炎等合併症。有別於傳統手術,微創融合手術則可以保留肌肉,利用撐開器順著肌肉紋理建立手術路徑,減少組織破壞,因此傷口小、術後疼痛感低,有助於加速恢復。待麻醉退掉,郭奶奶於手術隔日即可自行下床行走,不僅手術傷口不痛,也不再腿疼、腳麻,順利於五日後出院返家。
郭奶奶表示三年前就開始腰痛,且疼痛範圍漸漸向下擴大至雙腿,卻因新冠肺炎疫情而不敢就醫,直到今年疫情趨緩,才決心解決疼痛問題,聽聞花蓮慈院林欣榮院長是神經外科領域的專家,特地從苗栗到花蓮求醫,並由林院長轉介至洪祥益主任的門診。郭奶奶感謝孫女陪伴她翻過半個臺灣到東部求治,也感恩花蓮慈院神經外科團隊的治療和照護,讓她終於能夠擺脫輪椅!

左、中圖:出院前,洪祥益主任特別叮嚀郭奶奶下床時不可以腰部力量起身,應先側身再用手臂撐起上半身,以免受傷。
右圖:林欣榮院長(左二)至病房探視因準備出院而精神很好的郭奶奶,並與孫女(左一)、專師黃湘玲(右一)開心合影。