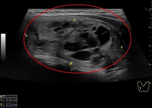
日前,一位51歲女性病人因頸部中間部位腫大來花蓮慈濟醫院影像醫學部施于泰醫師門診,經以超音波檢查,發現右邊有一5.15公分結節,另一個結節靠近甲狀腺峽部約2.99公分;在以細胞學穿刺檢查後為良性結節。病人在接受甲狀腺消融術治療後,隔天即出院恢復正常生活,且一週後已明顯消腫,無副作用發生。
甲狀腺位在頸部下方兩側,形狀就像一隻蝴蝶的內分泌腺體,蝴蝶的兩邊翅膀就是甲狀腺的左右兩葉,蝴蝶的身體就是甲狀腺兩葉的峽部,負責分泌甲狀腺荷爾蒙,主要功用是促進新陳代謝、增進生長發育、維持中樞神經的運作、增加組織對交感神經刺激的反應等。
正常人的甲狀腺功能隨著年齡、性別及環境改變而發生變化,一旦甲狀腺出現體積過大、過小、產生節結,或在脖子摸起來有腫塊等症狀,施于泰醫師建議,若家族有甲狀腺疾病史的民眾,最好能盡早就醫並定期追蹤;無家族史,也建議35歲起自費檢查,以超音波掃描加上細胞學採樣,就可確定結節是否為惡性,檢查時間短,費用也在數百元之間。
過去因為大部分的病人多等到甲狀腺結節壓迫食道、氣管,造成吞嚥、呼吸困難時,才到急診就醫,甚至須緊急插管治療;施于泰醫師提到,這就是俗稱的「大脖子」病,傳統治療須全身麻醉、外科手術治療,需住院多天,且術後傷口會留疤,以及易造成副甲狀腺功能低下併發症。
花蓮慈院2023年9月引進甲狀腺消融術,透過射頻(RFA)、微波(MWA)、酒精等方式可消融良性結節與囊腫。甲狀腺結節消融過程,病患需局部麻醉以保持清醒,並盡量避免吞嚥口水產生震動,施于泰醫師指出,主治醫師會不定時跟病人說話,確保病人聲帶不受影響。時間約需半小時至一個小時,消融針傷口約筆尖大小,可保留甲狀腺,治療效果和傳統開刀一樣。且在過消融程中有顯影劑影像評估消融狀況,可避免副甲狀腺低下後遺症發生。如果患者對於「大脖子」外觀在意,或是經醫師評估有壓迫症狀,可考慮接受甲狀腺消融治療。
施于泰醫師指出,消融是目前被廣為應用在處理良性結節的一項技術,透過消融針插入結節後,可發出射頻電流或微波加熱;微波加熱因具有更高的能量密度,適合5公分以上較大或複雜的結節。目前已有多位病人在花蓮慈院接受甲狀腺消融術治療,復原狀況良好,且無相關後遺症。


左圖:施于泰醫師幫病人進行超音波掃描情形。(陳炳宏/攝)
右圖:施于泰醫師表示,如果患者對於「大脖子」外觀在意,或是經醫師評估有壓迫症狀,可考慮接受甲狀腺消融治療。(劉明繐/攝)


左圖:這位女病患,右側5.15公分結節微波消融前,超音波影像。(施于泰提供)
右圖:女病患右側甲狀腺5.15公分結節微波消融後超音波影像。(施于泰提供)

