一位70多歲的男性病人,因有重度吸菸史、久咳不癒,到花蓮慈濟醫院求診,檢查發現疑似左肺惡性腫瘤,經電腦斷層導引切片和全身正子檢查後,團隊診斷為第二期肺腺癌,經胸腔外科鍾秉儒醫師以達文西機械手臂輔助胸腔鏡手術切除左下肺葉,病人快速復原,在術後第二天觀察相關指數均無異常,即辦理出院。
鍾秉儒醫師指出,衛生福利部健保署自2023年3月起新增多項達文西手術給付,病人可減輕一大部分醫療費用;這位病人為肺腺癌症第二期,雖沒有淋巴轉移,但手術後復發率仍可高達3到4成,選擇達文西手術,可做更多淋巴廓清,一些文獻指出,可有效降低復發率。病人術後第一天移除引流管,第二天出院,目前口服抗腫瘤藥物,並定期門診追蹤,日常生活一切正常,跟手術前一樣。
肺癌在全球及臺灣均居癌症死亡首位,鍾秉儒醫師表示,主因是肺癌早期無明顯症狀,2021年衛福部國民健康署癌症登記報告的資料顯示,肺癌個案的死亡率高,存活率低,主要與診斷的期別有關。肺癌確診個案有5%被診斷為0期,有30%被診斷為1期,有3%被診斷為2期,有11%被診斷為3期,有50%被診斷為4期。目前第1期肺癌之5年存活率達9成,到了第2期約6成,第3期則下降到約3成,但如果延誤治療到第4期才就醫,5年存活率就僅剩1成,期別不同5年存活率差距很大。
鍾秉儒醫師提到,在西方地區因吸菸引起的肺癌比例高,但在臺灣,2/3肺癌患者並不吸菸,尤其不少女性不吸菸也罹患肺腺癌,這可能與空氣污染、廚房油煙有關,有些病人出現嚴重咳嗽、背痛症狀才就醫,常已是第四期肺癌。
低劑量電腦斷層(簡稱LDCT)是目前國際上普遍認為有實證,可以早期發現肺癌的篩檢工具,能降低重度吸菸者肺癌死亡率。國健署自2022年7月1日起補助LDCT肺癌篩檢,這項檢查對於早期肺癌診斷很有幫助;並且2025年起,肺癌篩檢將有機會放寬吸菸者和有家族史的人,預期會有更多人受惠於篩檢補助。鍾秉儒醫師建議高風險民眾應定期篩檢,早期發現早期治療可提高療效。
鍾秉儒醫師指出,達文西手術系統的影像穩定、立體、且能將局部細節放大,加上仿真手腕的手術器械,能使外科醫師進行更精確的切除、修復和縫合等外科步驟。如此在進行達文西手術時,更能保留重要的組織,減少手術過程中不必要的神經、血管傷害。在有淋巴結轉移或腫瘤位置較深、不好切除的情況下,透過達文西手術,外科醫師能進行以往胸腔鏡手術無法完成的操作,更細緻地分離要切除的組織。
鍾秉儒醫師也指出,隨著科技的發展檢測肺癌基因型態已是臨床的常規。加上手術方法的不斷進步和改良,肺癌病人的治療將越來越多元化、且個人化。有望不遠的未來,肺癌將不再位居於癌症死亡的首位。


左圖:鍾秉儒醫師看診。(陳炳宏/攝)
右圖:鍾秉儒醫師細心用超音波為病患看診。 (陳炳宏/攝)


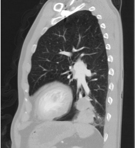
左圖:一位70多歲的男性病人,因有重度吸菸史、久咳不癒,到花蓮慈濟醫院求診,檢查發現疑似左肺惡性腫瘤。(鍾秉儒醫師提供)
右圖:鍾秉儒醫師透過達文西機器人手臂輔助進行肺癌病人肺葉切除術。(鍾秉儒醫師提供)


左圖:鍾秉儒醫師操作達文西機器人手臂。(鍾秉儒醫師提供)
右圖:鍾秉儒醫師指出,衛生福利部健保署自2023年3月起新增多項達文西手術給付,病人可減輕一大部分醫療費用。(黃思齊/攝)