一對年輕夫妻因多年的不孕問題,去年底至花蓮慈濟醫院生殖醫學中心接受治療和做試管嬰兒,經過努力後,妻子終於順利懷上寶寶,沒想到卻在懷孕第六週回診檢查時,發現子宮內胚囊旁出現較大的血塊和部分小血塊。由於血塊可能導致胎兒流產,婦產部生殖醫學中心主任陳寶珠建議妻子陳女士住院接受中醫治療,由副院長暨中醫部主任何宗融與中醫團隊為她進行針灸、艾灸和貼耳豆,治療一週後,血塊竟完全消失乾淨了。夫妻二人驚喜表示,沒想到中醫治療這麼有效!
「一開始聽到醫師說太太子宮裡有血塊的時候,其實有點緊張。」李先生說,從發現有血塊到治療完全,整個過程都像在坐雲霄飛車。因婚後二年內始終未能懷上寶寶,夫妻二人經過多方努力,最終決定至陳寶珠主任的門診諮詢和檢查,確認符合接受人工生殖的條件,便開始嘗試進行試管嬰兒。幸運的是,妻子陳女士第一次取卵與植入胚胎即成功受孕,夫妻都非常高興;也因經歷過受孕成功的喜悅,當後續追蹤的孕檢結果顯示血塊可能危及到胚胎,令陳女士感到特別地焦慮和沮喪。
陳寶珠主任表示,胚胎著床後在子宮腔內出現血塊的情況,並非只有做人工生殖的女性才會遇到,普通的受精懷孕也可能發生,且目前成因不明。由於血塊存在於腔內,對於胎兒來說是異物,容易使著床的胚胎剝離,造成流產,因此陳寶珠建議陳女士盡速接受中醫治療,期望透過中醫的多種治療手段,讓血塊能夠慢慢自行消散、由母體吸收。
李先生表示,妻子過去從未接受過針灸、艾灸及耳豆等中醫治療方式,也很討厭吃中藥,但為了讓寶寶能夠平安留下、健康成長,住進中醫病房後不僅積極配合何宗融副院長的治療和處方,更謹遵醫囑每天盡量減少活動,每日躺在病床上休養。「沒想到一週後檢查發現血塊都沒了,真的很驚喜!」經過連續七天的治療後,超音波影像顯示子宮內已完全沒有血塊,治療成果喜人。
李先生非常感謝陳寶珠主任的專業建議,他表示,最終檢查看到血塊都消失的當下,雖然他們也很開心,但寶珠醫師表現得更加興奮,這讓他真正感受到了醫師把每個病人放在心上的用心,以及對於每一個生命結晶的重視。陳女士感恩中醫團隊在住院期間對她的照顧,並特別感謝何宗融副院長考慮到她不習慣中藥苦味的意願,適當地調整中藥方,令她十分感動。自第六週發現血塊,如今寶寶已在陳女士的腹中成長十二週,夫妻二人表示,真的很感謝花蓮慈院醫療團隊的努力,也期待這個得來不易的小生命能夠平安長大、順利出生。



左圖:陳寶珠主任表示,胚胎著床後在子宮腔內出現血塊的情況,並非只有做人工生殖的女性才會遇到,普通的受精懷孕也可能發生,且目前成因不明。
中圖:陳寶珠主任向陳女士說明治療前後的超音波影像差異。
右圖:何宗融副院長為陳女士針灸治療。

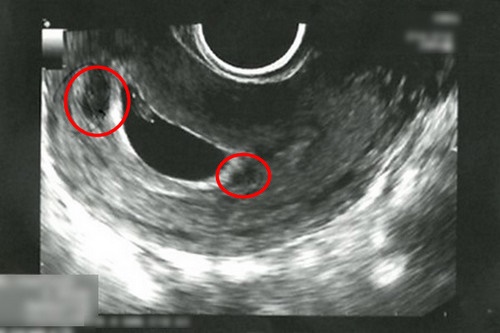
左圖:陳女士懷孕第六週,透過超音波檢查發現子宮腔內出現血塊(紅圈處)。
右圖:經過一週的中醫住院治療,子宮腔內血塊已消失,且胎兒順利成長。