2012年到2022年間,臺灣食道癌在十大癌症死亡率排名從第八降至第九,花蓮慈濟醫院副院長徐中平指出,這些數據反映出醫療技術與照護品質在進步,與二十年前相比,食道癌的整體五年存活率從不到10%提升至25%;除了建議年過四十的民眾定期健檢之外,一旦有吞嚥卡卡等症狀時,宜就醫檢查。
典型的食道癌初期通常是毫無自覺症狀,隨著腫瘤成長,才有吃東西時感覺卡卡吞不下的吞嚥困難症狀,或是吞東西時感覺食物黏在食道壁上滯留、緩慢通過的感覺;徐中平副院長提到,患者常有食物卡在喉嚨或胸口、甚至被食物嗆到的感覺。
胃食道逆流症常導致食道下段損害,增加食道腺癌風險,徐中平副院長指出,包括上皮變成如鮭魚肉色般的「巴瑞特氏食道」而產生食道腺癌,在西方國家有半數的食道癌患者與胃食道逆流有關。
但在亞洲,徐中平副院長說,特別是臺灣,食道癌患者中高達95%的病例屬於鱗狀上皮細胞癌,這與喝酒、抽菸及嚼食檳榔等生活習慣有密切關聯。另,偏愛發酵、醃製或過熱食物的飲食習慣也是導致食道癌的一大因素。
徐副院長強調,檳榔的危害性在口腔癌和食道癌的高發病率上尤為明顯。這兩種癌症在十大癌症死因中分別排名第六和第九,男性更是居第四和第五,發生率是女性的10.8倍和14.8倍。這顯示嚼食檳榔直接威脅口腔和食道健康,戒酒、戒菸和戒檳榔有助於預防這兩大癌症。
食道癌、口腔癌是難兄、難弟,常常會發生在同一病人身上。建議治療口腔癌的醫師,可進一步安排消化系統檢查,有可能就會發現早期食道癌;治療食道癌病人時,也應請口腔外科或耳鼻喉科醫師檢查口腔及上咽部,根據經驗有二成患者會先後得到這兩種不同部位的癌症。
在食道癌的診斷和治療,先進的技術使得早期食道癌的發現變得更加容易。徐中平副院長指出,對於局限在黏膜層的腫瘤,內視鏡黏膜切除術是一種有效的治療選擇。
若需切除含腫瘤的食道,可以用胃或大腸重建取代食道。徐中平副院長指出,他習慣採用「倒序式食道癌微創手術」作食道腫瘤的切除與重建,在身體側邊開2-4個各1公分的小傷口的內視鏡手術、或採單孔手術方式,先重建食道後再切除腫瘤部位,手術時間可省1至2小時,同時降低手術的難度。這種術式對於食道癌大多發生在中段或上段的亞洲人來說,尤其適合。
即使是第四期食道癌患者,也不是完全沒有希望。徐中平副院長指出,經過適當的治療,有些患者的病情依然可以獲顯著的改善,甚至可以達到手術治療的條件;曾有左主支氣管受腫瘤侵犯的55歲男性,經放射及化學治療後,病理報告顯示病灶顯著縮小,且無淋巴轉移。他除了建議年過四十的民眾定期健檢之外,一旦有吞嚥卡卡感覺等症狀時,務必就醫檢查,早期診斷、治療,對病人幫助最多,且大大提高成功治療的機率。

圖:花蓮慈院副院長徐中平(右)建議,防範食道癌,除年過四十的民眾定期健檢之外,一旦有吞嚥卡卡等症狀時,宜就醫檢查。(攝影/陳炳宏)

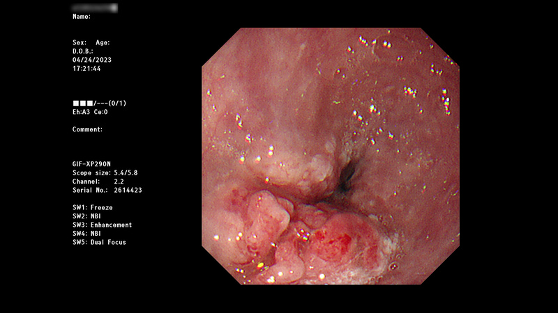
圖:圖為55歲男性食道癌患者,放化療前上內視鏡檢查消化道,發現食道中下段存在腫瘤。(徐中平提供)

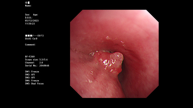
圖:圖為55碎食道癌患者,放化療前上支氣管鏡檢查,發現左側主支氣管有腫瘤侵犯。(徐中平提供)

圖:圖為55歲食道癌患者,放化療後,上消化道以鋇劑X光攝影,已無黏膜皺襞破壞、管壁僵硬,管腔狹窄,鋇劑通過受阻等病兆。(徐中平提供)