勞動部職安署、職業災害預防及重建中心、環境職業醫學會聯合各地職業傷病診治專責醫院進行人造石產業暴露危害與健康風險調查,其中,花蓮慈濟醫院於2023年底具出相關報告,顯示人造石矽肺症有年輕化及病程發展迅速的現象。花蓮慈院胸腔內科劉迪塑醫師指出,由於矽肺症屬於不可逆的吸入性肺部疾病,且即便病人停止暴露在粉塵環境裡,病程仍然會持續進展,因此預防的重要性不可忽視,呼籲相關從業者應多加注意!
矽肺症是塵肺症的一種,常見於人造石工業環境中,工人因防護措施不完備不慎將二氧化矽粉塵吸入肺部,粉塵沉積於肺泡之中導致肺部慢性發炎和纖維化,使肺部彈性變差、氣體交換功能受損,常伴隨著咳嗽、呼吸困難、運動不耐受等症狀。劉迪塑表示,並非所有粉塵吸入肺部都可能導致塵肺症,通常10微米以上的粒子在進入呼吸道之前就會被鼻毛阻擋,但若粉塵小於5微米,就可能被吸到肺部最遠端,甚至進入肺泡裡;一旦進到肺泡,這些微小的粉塵粒子就無法被人體代謝或排出,會被肺泡中的巨噬細胞吞噬,最終進入淋巴系統,持續造成肺泡慢性發炎和纖維化。
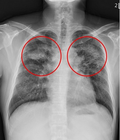
黃先生(化名)自二十一歲至三十歲有長達近十年的磨石工作經歷,雖後續離開此行業,卻在四十四歲時從影像檢查中發現肺部有大塊陰影,後續確診為塵肺症導致的肺部纖維化。「矽肺症最可怕的是,一旦患上,不僅不可逆還將會持續惡化,且沒有特效藥。」劉迪塑醫師說明,吸入的粉塵大多沉積在上肺葉,因發炎反應和局部纖維化而產生許多間質性結節,嚴重時甚至會發展為漸進性大量纖維化,在雙上肺葉形成對稱的腫塊,臨床上需和惡性腫瘤或結核病的腫塊或結節做鑒別診斷。
劉迪塑指出,一般大理岩或花崗岩的開採,環境中的二氧化矽濃度可能介於2%到40%之間,吸入粉塵後所致的矽肺症多以慢性為主,且經常需要長達十至二十年的暴露才會使肺部出現一定程度的纖維化,影響患者呼吸。但在人造石的工程中,二氧化矽濃度卻可能達到97%!即便吸入粉塵的時間很短,因暴露的濃度非常高,人造石產業的致病風險仍遠高於普通砂石開採,也因此在臨床上的症狀表現往往屬於急性。
「預防勝於治療」,面對不可逆的矽肺症,劉迪塑表示這六字箴言尤其重要。矽肺症通常為職業暴露災害,他呼籲相關從業者工作時務必妥善防護,使用工業級的防護口罩或面罩,避免直接將粉塵吸入肺部,並注意場所通風系統是否完備;也建議矽肺症病患施打流感疫苗及肺炎鏈球菌疫苗,以避免肺部感染造成疾病惡化。

圖說:劉迪塑醫師指出,矽肺症患者的肺部因發炎反應和局部纖維化而產生許多間質性結節,嚴重時甚至會發展為漸進性大量纖維化,在雙上肺葉形成對稱的腫塊。