花蓮慈濟醫院心臟科團隊日前在心導管室成功將一名出現大範圍血栓的急性下壁心肌梗塞患者,從鬼門關搶救回來。心臟內科心功能檢查室主任劉維新指出,患者一度出現心因性休克,急救後仍心跳不穩,不僅裝置葉克膜,最後因使用「機械式血栓抽吸裝置」協助抽出血栓,才成功置放支架;患者目前恢復良好,已順利出院。

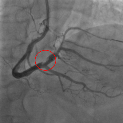
左圖:抽出血栓後使原右冠狀動脈原發病灶清楚現形,得以精準置放支架,完成血管的暢通。
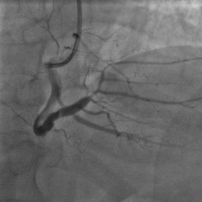
右圖:置放支架後恢復通暢的血管主幹。
六十七歲萬先生是在凌晨一點左右感到胸悶不適,上午九點經救護車送往急診室,初步檢查確定為急性下壁心肌梗塞後,立刻由「救心小組」接手,送心導管室,由心功能檢查室主任劉維新醫師與團隊緊急進行心導管治療。劉維新主任表示,最理想的狀況是清除血栓後再處置原發病灶,但在萬先生的右冠狀動脈及後降支、後側支構成的三岔路口有大範圍血栓,位置棘手加上血栓過多,在置放節律器後多次以人工抽吸方式清除血栓卻成效甚微,且出現心因性休克。
患者心跳停止,團隊立刻進行電擊和插管,並因急救過程中患者心跳反覆不穩,很快地由心臟外科團隊為他裝上葉克膜,以維持生命徵象及保護其他器官的血液灌流,同時也為心臟內科團隊及患者爭取更多救治時間。劉維新主任指出,考量人工抽吸的方式難以將患者的血栓全數清除,且患者已裝上體外循環儀器,經心臟內科團隊討論後,向家屬說明並取得同意,決定使用自費的機械式血栓抽吸裝置抽取心臟血栓。
急救過程,由王惠生醫師將血栓抽乾淨,能清楚看見右冠狀動脈原發病灶,即血管壁上的斑塊,再由劉維新醫師精準置放支架,完成血管的暢通。萬先生於術後三日移除葉克膜、五日後脫離呼吸器,並於術後一週自加護病房轉至普通病房,復健半個月後即出院。
劉維新主任表示,當時會建議較少應用在心血管的「機械式血栓抽吸裝置」,主要是若不使用機械式抽栓,就需考慮在分岔的兩條大血管做分岔支架,如此一來不僅手術時間長、術式複雜,長期效果也較單支架差;且因裝上支架後仍然要打溶栓藥物,讓血栓在二、三日內代謝掉,這對於已裝上葉克膜、身上插有許多大管路的患者而言,打溶栓藥物後會變得難以止血,且更易發生感染。
所幸醫療團隊及時利用體外循環機械式血栓抽吸裝置,成功地維持病人心肺功能並將血栓完全清乾淨,病人雖曾一度心跳停止,但觀察後並無造成腦損傷,目前恢復情況良好,已完全回歸日常生活。劉維新主任建議,若感到胸悶、呼吸不順暢、上腹痛或合併冒冷汗、頭暈、噁心等疑似心血管疾病症狀,應立即就醫,以把握黃金治療時間。
圖說:劉維新主任表示,當時的情況若不使用機械式抽栓,就需考慮在分岔的兩條大血管做分岔支架,
不僅手術時間長、術式複雜,長期效果也較單支架差,
因此多方考量後建議使用較少應用在心血管的「機械式血栓抽吸裝置」。