居住在花蓮南區的56歲甘女士,日前在家起床後,突然感到口齒不清、右半身無力,並有些微意識混亂,身為消防隊員的兒子十分警覺,緊急叫救護車將她送往花蓮慈濟醫院急診。救護車於上午八點抵達,經檢查確認是左側內頸動脈急性梗塞,神經外科醫療團隊立刻進行取栓手術,在病人到院後90分鐘內即完成取栓治療,目前病人恢復情況良好。

花蓮慈院神經外科部神經血管介入治療科主任李建輝指出,缺血性中風可以施打靜脈血栓溶解劑,或進行動脈血栓移除手術做緊急處理,目前花蓮慈院是花蓮地區唯一一間二十四小時可做經動脈取栓治療與施打血栓溶解劑的醫院。腦中風可分為二種類型,一種是腦內出血造成的出血型中風,另一種是腦內血管阻塞所致的缺血型中風;其中,缺血型腦中風又稱為腦梗塞,佔所有中風的七至八成發生率。
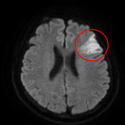
腦中風臨床表現包括平衡感、視力或手腳肌力下降,或是臉部或嘴角的歪斜、口齒不清等,甘女士的兒子因職業原因相當警覺,察覺到媽媽的症狀疑似腦中風,雖右手和右腳尚能行動,但握力明顯變差,因此果斷將病人送醫。救護車抵達急診後,醫療團隊立即為病人做電腦斷層檢查,排除出血型腦中風,並做核磁共振,發現左腦有明顯發亮區域,以及缺少了左側內頸動脈的顯影,即確認是左腦急性腦塞與左側內頸動脈完全阻塞。
急診隨即會診神經外科團隊做腦血管內取栓術,利用介入技術將阻塞腦部大血管的血塊取出,改善血流循環,降低腦組織受損的範圍,在病人抵達醫院90分鐘內就完成了取栓治療。取出血栓、打通大血管後,甘女士的意識及說話方式恢復清晰,右半身肌力也已恢復正常,能夠自如下床行動。她表示,很慶幸兒子發現症狀後當機立斷叫救護車,直接將她從花蓮南區送往花蓮慈院,也感恩醫療團隊二十四小時待命的高效率,不僅救回她一命,也沒有在腦部留下不可逆的神經損傷。
李建輝主任表示,當腦中風發生,就是醫師跟時間賽跑,病人越早抵達醫院、越快接受處置,術後恢復的情況就會越好;呼籲民眾若發現家人或朋友出現疑似腦中風的症狀,即便短時間內還能說話或行動,也要盡快將病人送醫,把握黃金救治時間。

