居住在臺東的七十一歲方奶奶因常咳不癒且有大量痰液,疑似難治型肺炎,在當地住院治療一個月,病情無絲毫起色,於二○二三年七月下旬轉往花蓮慈濟醫院。胸腔內科主任林智斌醫師問診後,懷疑病人的疾病並不單純,經切片檢驗結果確為肺腺癌,隨即以標靶藥物治療。目前病人已恢復穩定,返家休養。

▲病人症狀表現及影像檢查結果是很典型的肺炎,但經抗生素治療無好轉,花蓮慈院胸腔內科主任林智斌果斷建議做切片檢查,後續確定為肺腺癌。
「從X光片及電腦斷層(CT)來看,怎麼看都像是肺炎。」林智斌主任表示,久咳不止和痰量大,加上CT影像看到實質化(Consolidation)及空氣支氣管徵象(Air Bronchogram),方奶奶的疾病表現是很典型的肺炎,只是經過抗生素治療一個月,病人的情況卻沒有好轉,反而越來越嚴重,勢必要調整治療方針。過去的臨床經驗讓他果斷地建議病人做切片檢查,隔日病理結果確定為肺腺癌第四期,立刻安排病人進行基因檢測,以尋找適合的標靶藥物,並於結果出來後盡速投入藥物治療。
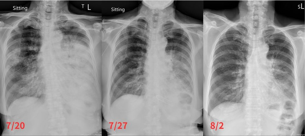
因醫師快速的診斷和標靶藥物針對性的治療,方奶奶在投入藥物五天內,肺部陰影就明顯減少,治療二週後的X光影像更是僅剩下肺葉的一點陰影,常咳及多痰症狀也大大改善。林智斌主任表示,臨床上偶爾會遇到類似的不典型肺癌患者,因疾病表現不尋常,尤其需仰賴醫師的經驗,靈活從其他切入點診治。若治療方案無效,病人狀況可能會持續惡化,甚至威脅生命健康;所幸及時治療得當,目前方奶奶病情已趨於穩定,按時服藥控制中。
肺腺癌屬於肺癌中的非小細胞肺癌,通常會在肺泡中增長,位於肺部外緣,根據近年數據統計,佔臺灣新診斷肺癌70%以上,且有逐漸年輕化的趨勢。吸菸是大大提升罹癌機率的因素之一,不過在臺灣50%以上的肺癌病患不抽菸,超過九成的肺癌女性患者也不抽菸,且女性罹患肺腺癌的比例比癮君子還高。
國人十大癌症中,肺癌已連續十九年奪冠。由於肺癌早期幾乎沒症狀,但腫瘤只要達一公分就可能轉移,因此當病人出現咳嗽、呼吸喘或感覺疼痛等症狀,多已是肺癌晚期。林智斌主任建議民眾可以做低劑量電腦斷層(LDCT)檢查,能夠偵測肺部小於一公分的腫瘤或肺結節,及早治療,降低轉移風險,也提升手術治療後五年存活率。

▲方奶奶於七月下旬轉往花蓮慈院時,X光影像顯示肺部有明顯陰影,經標靶藥物治療五天後已減少許多,治療二週後更僅剩肺葉的一點陰影。