一位46歲女性肺癌病人,沒有任何症狀,一次健康檢查發現0.7公分大的一期肺腺癌腫瘤。以單孔胸腔鏡楔狀切除術切除病灶,傷口僅3至4公分。花蓮慈濟醫院胸腔外科徐中平副院長指出,早期肺炎通常無症狀,提早發現肺癌的訣竅就是做低劑量電腦斷層(LDCT)檢查,建議40歲以上即可自費安排時間做肺部健檢。
衛生福利部公布2022年國人十大癌症,肺癌(含氣管、及支氣管癌)死亡人數達10,040人,已連續19年奪冠。徐中平副院長表示,國健署自2022年7月1日起啟動免費低劑量電腦斷層 (LDCT)補助篩檢計畫。LDCT可以偵測肺部小於1公分的腫瘤或肺結節,到今年6月30日已有近5萬人接受檢查,531確診肺癌個案中有85%是早期肺癌,可開刀治療。0-1期肺癌未轉移病人,手術治療後五年存活率可達90%以上。
肺癌病人早期幾乎沒症狀,而腫瘤只要達1公分就可能轉移。若已出現咳嗽、咳血、喘、疼痛、體重減輕等症狀時,多已經到晚期。徐中平副院長指出,經低劑量電腦斷層檢查發現如毛玻璃霧面狀病灶,就需要定期追蹤。若超過0.8公分或質地較扎實,則病灶有可能已癌化。如情況許可手術切除為第一選擇,其他尚有放射線治療、化學治療、標靶治療、免疫治療等各種療法。其中標靶治療與免疫治療須先做基因檢測,有特定基因表現才適用,而健保對符合條件的病患也會給付。
傳統的肺癌手術方式都是將整個肺葉切除,現在的手術則多採單孔胸腔鏡微創手術,傷口約莫3~5公分長。徐中平副院長提到,花蓮慈院胸腔外科團隊施以單孔胸腔鏡微創手術切除腫瘤已多年,必要時加上螢光靛氰綠ICG定位,很容易就找到腫瘤,可增加手術切除的精確性。除大幅縮短手術時間,恢復期也可從傳統開胸的1-2週縮短到3-5天,讓病人更快回復正常的生活,而這已是肺癌治療新趨勢。
徐中平副院長說,目前肺癌病例近七成是肺腺癌,共同點是沒有明顯症狀。有些病灶的電腦斷層影像看起來像是毛玻璃的黑影,這可能是癌前病變或原位癌;有些病灶則看起來較扎實,那就有可能是較具侵犯性的腫瘤。花蓮慈院10年前將LDCT納入同仁健檢項目,也因此有許多同仁發現早期肺癌即時手術治療,都有良好的治療結果。 早期花蓮慈院收案的肺癌病人多是在第3-4期,只有30%是屬於癌症0-2期可開刀治療病人;近年政府推動低劑量電腦斷層肺癌篩檢,可開刀病人已經提升到近五成。徐中平副院長提醒,50歲以上的重度吸菸者、或45歲以上有家族病史的高危險群,憑健保卡每二年可定期接受國家補助的低劑量電腦斷層免費肺癌篩檢,以確保肺部安康。

花蓮慈濟醫院胸腔外科徐中平副院長指出,早期肺癌通常無症狀,建議40歲以上即可自費安排時間做做低劑量電腦斷層(LDCT)肺部健檢。(陳炳宏攝)

徐中平副院長(右二)、鍾秉儒醫師(右一),與洪定醫師(左一),透過靛氰綠ICG螢光影像輔助精準定位,以單孔胸腔鏡為病人開刀切除肺癌腫瘤。(徐中平提供)

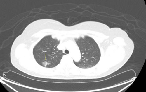
徐中平副院長說,目前肺癌病例近七成是肺腺癌,共同點是沒有明顯症狀。有些病灶的電腦斷層影像看起來像是毛玻璃的灰影(箭頭所指處),如果病灶小於1公分,且無實心變化,就可能是癌前病變或原位癌。(徐中平提供)