二零二二年八月中旬,六歲的陳小弟因腹痛不止而就醫,經超音波和電腦斷層檢查,發現膽囊裡竟有大片膽結石堵住與膽管的銜接處,造成發炎、引起疼痛,在花蓮慈濟醫院小兒部陳明群與張雲傑醫師的會診後,判斷陳小弟是罕見的「小兒膽結石」。

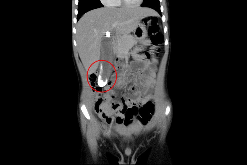
圖說:紅色圈起處為陳小弟體內發炎腫脹的膽囊,白色部分為膽結石
為了解決陳小弟的結石與發炎問題,小兒科與兒童外科跨團隊攜手合作,由楊筱惠醫師主刀,順利完成膽囊切除手術,陳小弟也在後續醫療團隊的悉心照料下很快地找回健康,住院三天就康復出院了!
根據統計,平均每一千名孩童中,僅有一名會發生小兒膽結石,兒童腎臟科主任陳明群醫師表示,小兒膽結石的病人中約有五成會感到上腹疼痛,產生包括急性膽囊炎或膽管炎等併發症,好發於新生兒時期及十歲以上兒童、青少年;新生兒時期原因與先天體質有關,包含有溶血性疾病、長期施打全靜脈營養或曾接受過小腸切除的嬰兒,而青少年膽結石原因則以溶血性疾病、肥胖、懷孕為主。今年三月,陳小弟就曾因腹痛就醫,根據孩子腹痛部位的不同,臨床診斷上醫師可能會往腸炎、便秘、急性闌尾炎、泌尿道感染等等方向逐步排查原因,但陳明群主任在陳小弟的X光片上看見膽囊位置有不尋常的陰影,於是將他轉介到兒童腸胃科主任張雲傑的門診,做更進一步的專科檢查。
透過超音波與電腦斷層確認,陳小弟的膽囊中有一些細小的結石,不僅是罕見的小兒膽結石,更是極少在這個年齡段發生的案例。考慮到孩子並沒有家族病史,也無常見形成小兒膽結石的危險因子,張雲傑主任與家屬討論過後,先使用藥物控制,以內科療法治療,讓結石不要持續增大;直到後續陳小弟再次就醫,發現結石情況並無好轉,甚至已逐漸連成一大片,卡在膽囊管進總膽管處,造成慢性發炎。由於內科治療無法使病況緩解,小兒科張雲傑醫師照會楊筱惠醫師與兒童外科團隊,討論為陳小弟開刀摘除膽囊的可能性。
兒童外科楊筱惠醫師表示,在小兒膽結石個案中,約有三成是找不到確切原因的,且陳小弟的飲食、體質與病史都在正常範圍內,年齡也不在疾病好發群體裡,更是難以明確病因。因膽結石疼痛反覆發作,且併發膽囊炎,在和陳小弟的家長說明後,外科團隊進行「腹腔鏡膽囊切除術」將膽囊摘除,手術過程十分順利,術後陳小弟情況恢復良好,在醫院休養三日後就出院了。
兒童切除膽囊後的症狀與成人相同,因切除膽囊,膽汁缺少了暫時儲存的空間,進而影響消化,可能會較常出現腹瀉、脹氣、反胃等狀況,張雲傑主任建議家長應特別注意孩子的飲食,手術後的患者需避開高油脂的食物,給予消化系統適應的時間,避免消化不良引起的腸胃道不適。



左圖:兒童腎臟科主任陳明群醫師。
中圖:兒童腸胃科主任張雲傑醫師。
右圖:兒童外科楊筱惠醫師。