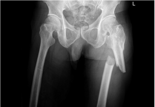
73歲的邱伯伯,今年六月底時,騎乘機車與轎車相撞摔傷,左側股骨骨折(大腿骨折),經過花蓮慈濟醫院麻醉團隊進行術前神經阻斷術(神經止痛術)、以及骨科團隊骨折固定手術後,邱伯伯手術沒有了疼痛問題,身體恢復良好,不只行動自如,甚至還可以下田工作。從開刀前到開刀後都無痛,讓邱伯伯開心直說「不會痛,沒有感覺到痛,跟以前受傷開刀是完全不一樣的感受」。

圖說:邱伯伯(中)與太太,感恩麻醉部疼痛科王柏凱主任(左)、運動醫學中心主任暨骨科醫師劉冠麟(右)。
邱伯伯在花蓮玉里鎮發生車禍時,因為骨折轉送到花蓮慈院急診,邱太太說,當時在救護車上,只要稍微移動一下,先生就痛的唉唉叫。在醫院服務的女兒看到父親疼痛不已,請急診醫師會麻醉部做術前神經阻斷術,以降低骨折帶來的疼痛不安感。
麻醉部疼痛科王柏凱主任表示,在手術前就先進行神經阻斷術是為了降低病人術後的疼痛,就好比打預防針的概念,可以將病人在術後的疼痛感降到最低,而這樣的止痛方式則是透過超音波引導,以注射局部麻醉藥在四肢的神經,停止神經傳遞疼痛的感覺,進而降低疼痛感。
為邱伯伯做股骨固定手術的運動醫學中心主任暨骨科醫師劉冠麟表示,因COVID-19疫情,病人到急診需要做手術或住院時,都需等待PCR篩檢結果,若是骨折的病友,在等待的過程其實疼痛難耐外,也增加他們的心理恐懼,所以術前就先為病人進行神經阻斷術,不只明顯改善術後疼痛,也能提升病人的醫療品質,加速恢復。
王柏凱主任也提到,疼痛若是被引發起來,會在腦袋裡形成痛的記憶,有時就會演變成慢性疼痛,而疼痛的時間就會拉長;但是,在一開始就將止痛做好,讓疼痛的感覺減少,病人對於痛的記憶,就會比較沒有那麼深刻;而做這項術式的時機不僅止於手術前,手術中與手術後也可以透過這樣的神經止痛方式,來減少疼痛程度,以利於手術後復健與恢復。
「父親在術後隔天,就因為傷口不會疼痛而想下床走路。」病人的女兒邱小姐笑著分享,術前神經阻斷術對父親的幫助很大,不只當下就不覺的痛,在手術後因為沒有用上止痛藥,也能避免藥物可能產生的副作用,而且因為不會痛,父親的胃口也很好,所以復原的速度很快,如今股骨也長得很好,真的很感恩花蓮慈院的醫療團隊。


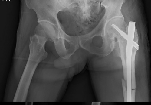
左圖:邱伯伯左側股骨骨折(大腿骨折),經過花蓮慈濟醫院麻醉團隊進行術前神經阻斷術、以及骨科團隊骨折固定手術(右圖)後,邱伯伯手術沒有了疼痛問題。