一位來自高雄市的陳先生,多年來飽受頸椎壓迫神經之苦,近來更因右腳無法抬起,隨時有跌倒的風險,四處求醫無法改善後,到花蓮慈濟醫院求治。經檢查發現他的第二、三節頸椎後縱韌帶骨化非常嚴重,受壓迫的神經幾乎扁成一條線,經神經脊椎微創外科主任洪祥益以微創融合手術治療,隔天即可下床,輕鬆抬起右腳走路,左右平衡變好了,內心十分感動。
七十一歲的陳先生,熱愛運動,年輕時是個橄欖球隊員,曾在四十六年前的一場比賽中因頭部頸椎遭受撞擊昏迷送醫救治外,再出現手部末端、腳膝蓋痠麻已是二○一五年的事,當時他先到知名的骨科醫院就診,磁振造影檢查發現他有多節頸椎壓迫到神經,但醫師建議他到大醫院手術,他說,輾轉找了多位醫師,直到二○一八年才有一位骨科醫師願意幫他手術。
陳先生說,當時手術後,四肢痠麻的症狀隨即獲得改善,而且因為是接受傳統頸椎減壓手術,他擔心術後肌肉萎縮,便開始上健身房走路復健,每天運動一個半鐘頭到二鐘頭,只是副作用仍慢慢浮現且愈來愈嚴重,他變得無法抬高右手、右腳、走路不平衡像跛腳,右大腿外側出現針扎感,且天氣冷時腳也會僵硬得無法動彈,在旁人眼裡還以為他是腦中風,但他不是。
陳先生曾在回診時希望醫師幫他找病因,但得到的回答是當時嚴重壓迫脊髓神經的骨刺,已在手術中清得很乾淨,而他的病苦沒有答案。
陳先生說,直到今年,旅外的兒子返回臺灣,看到他無法正常走路,擔心他跌倒受傷,便上網找醫師,看到林欣榮院長的幹細胞再生療法,鼓勵他嘗試細胞療法修補受損的神經,看看能否改善症狀,於是六月底,他來到林欣榮院長的門診。林院長了解陳先生的病症後,便推薦擅長頸椎腰椎微創手術的洪祥益主任。
林欣榮院長指出,陳先生因為頸椎卡住了,神經已被壓得非常扁,所以右腳的反射動作非常明顯,他只要稍微一不小心碰到東西,真的可能會摔得頸椎斷掉;這在花蓮慈院可以經由西醫手術把壓迫解除,然後再經過中、西醫復健,很快的讓神經迴路回到正常狀況,讓手、腳都有力。
陳先生的頸椎減壓手術確實比較困難,主要是位在第二、三節,非常高位的後縱韌帶骨化,比一般骨刺還嚴重,已把脊髓神經壓到、扁到幾乎一條線,洪祥益主任說,脊髓神經比腦神經還要脆弱,幾乎是可能稍微碰觸就會癱瘓;一般太嚴重的病人需要從後頸部做大範圍減壓,但陳先生幾年前已開過後面,開完後第二、三節頸椎反而又更狹窄,導致後來幾乎是無法走路,站起來就快要跌到的狀態。
洪祥益主任進一步指出,只剩下從頸椎前面做微創手術,頸椎第二節、三節的位置很高,幾乎從頸椎深入到口腔的高度,在顯微鏡下,精準地用電鑽把骨刺全部磨乾淨,再以骨釘固定及骨融合手術;磨骨刺的過程有點像一塊石頭壓在豆腐上,要以電鑽把石頭磨掉,風險極高,而執刀醫師必須要很輕巧、不能太用力,這是最困難的地方,特別是這骨化的韌帶比骨頭還硬,稍微不慎即可能造成癱瘓,也因此花蓮慈院神外團隊的脊椎手術全程均有神經監控,再加上有顯微鏡放大監看,讓手術更安全,醫師也可較放心的執行術式。
骨刺磨除後,洪祥益主任第二天早上巡房時,陳先生說四肢有通電的感覺,而且可以下床走路。洪主任說,這術式的傷口不用換藥也不用拆線,但須注意不能碰到水。
洪祥益主任指出,頸椎後縱韌帶骨化常見於東方人,日本、臺灣和韓國發生的比例還滿高的;在花蓮慈院也常碰到這類型的病人及手術。頸椎神經受壓迫時初期的症狀與一般長骨刺一樣,肩頸酸痛、手麻;如果是後縱韌帶骨化,症狀會更嚴重,走路像機器人,腳有點僵硬的感覺,或是無緣故就沒有辦法控制的跌倒,有的人也可能是腳沒力、跌到而就醫,實際上透過神經外科或神經科檢查評估就知道是頸椎問題,後縱韌帶骨化大概要經年累月慢慢長,所以要年紀比較大時才會開始出現症狀。
因陳先生習慣上健身房在跑步機上練健走運動,洪祥益主任建議,術後的病人可以先從踩飛輪訓練肌力,同時可訓練心肺功能,踩飛輪會比在跑步機上健走更安全。

圖:不再為頸椎壓迫而苦,陳先生(中)開心的讚嘆洪祥益主任(左)的微創術式精湛。右為林欣榮院長。



左圖:陳先生原本高位頸椎後縱韌帶骨化壓迫神經無法抬起的右腳,經脊椎微創融合手治療,第二天即恢復正常。
中圖:終於可以正常邁步平穩的走路,陳先生住院期間有空即下床練走,讓洪祥益主任(左)看看他可以走得好,不再跛腳。
右圖:即將出院返家的陳先生(右),即使再談起過去的病苦,也是歡喜輕鬆的神情。

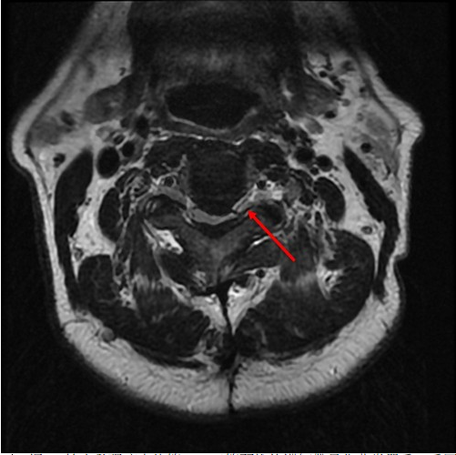
圖:經MRI檢查發現病人的第二、三節頸椎後縱韌帶骨化非常嚴重,受壓迫的神經幾乎扁成一條線。

圖:術前檢查,高位頸椎後縱韌帶骨化,嚴重擠壓脊髓神經(如圖1);醫師精準的用電鑽把骨刺全部磨乾淨,再以骨釘固定及骨融合手術(如圖2)。
撰文者:游繡華、陳炳宏
攝影:陳安俞