根據統計,生殖年齡的婦女有25%的機率罹患子宮肌瘤,雖然許多子宮肌瘤沒有特別症狀,可以與患者和平共存,但是若是子宮肌瘤形成腹部腫塊,就有可能造成慢性貧血,還有壞死、扭轉導致腹部疼痛等症狀,甚至有可能是惡性腫瘤。花蓮慈濟醫院婦產部主治醫師陳萱表示,其實透過診斷性子宮腔鏡門診,不用進開刀房也可以幫助許多婦女早期發現早期治療。

36歲的高小姐因為月經血量異常,輾轉來到花蓮慈院求診,經過門診子宮腔鏡檢查,才發現長了一顆約三公分的肌瘤,由於生長部位較為深層,所以,在其他醫療院所透過超音波並沒有明確發現肌瘤的存在,後續也藉由子宮腔鏡內視鏡手術,無傷口刮除肌瘤,陳萱醫師表示,經過切片檢查,證實為良性肌瘤。
「真的很幸運能遇到一位優秀的女醫師。」說起求診的過程,高小姐表示,總覺得婦科疾病看男醫師「怪怪的」,加上平常也有在工作,一方面要等下班時間,一方面又要想要找女醫師,所以,其實整個求診過程也經過了好幾個月,一開始遇到的其他醫師,都說有可能是感染問題,可是吃藥治療後,月經大量出血的狀況還是沒有改善,甚至血紅素也一度掉到6 gm/dl(成人女性正常值應為11.0~16.0 gm/dl),直到來到花蓮慈院遇見陳萱醫師,才找到真正的原因。
陳萱醫師表示,子宮肌瘤是婦女常見的疾病之一,最常見的症狀就是月經大量出血或者點點滴滴來個不停等經血異常。而超音波檢查其實就有機會可以檢查出子宮肌瘤,只是有些肌瘤就像是高小姐一樣,生長在較深的肌肉層或漿膜層,不容易被發現,但是透過子宮腔鏡檢查就可以發現,進而早期治療。
經過子宮腔鏡內視鏡手術無傷口刮除肌瘤後,高小姐術後很快就恢復日常生活,高小姐說,遇到年輕的陳萱醫師就像是交到一個好朋友一樣,有甚麼症狀跟問題,也比較能向醫師說明清楚。陳萱醫師表示,雖然在臺灣的醫療環境中,還是有許多民眾對於婦科疾病難以啟齒,但是「早期發現早期治療」的觀念很重要,可以減少治療的困難度,也能大大增加治療後的生活品質。請婦女朋友如果發現有經期、經血異常的狀況,都應該到合格的醫院求診,千萬不要輕忽。

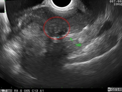
圖:經過包含子宮腔鏡在內的檢查,陳萱醫師發現造成高小姐困擾的就是子宮內的肌瘤。

圖:高小姐表示,遇到陳萱醫師就像是交了一個朋友一樣。