十八歲鄭小姐因周產期心肌病變導致心臟衰竭和肺水腫,在治療期間突發心律不整,二度心臟驟停,雖然急救後恢復心跳,但心臟各項數值表現仍相當不樂觀,花蓮慈濟醫院心臟內外科團隊運用葉克膜和心室輔助器爭取時間,維持心肺功能的正常,並持續悉心照護,鄭小姐的病況很快恢復穩定,在急救後十天移除心室輔助器,二十一天後出院返家,目前心臟功能幾乎已回到生病前的狀態,重返育兒新生活。

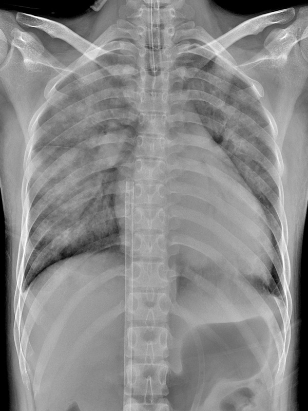
圖:鄭小姐裝上葉克膜六小時後,胸腔X光影像中肺部幾乎呈白色,肺水腫嚴重且心臟明顯擴大。

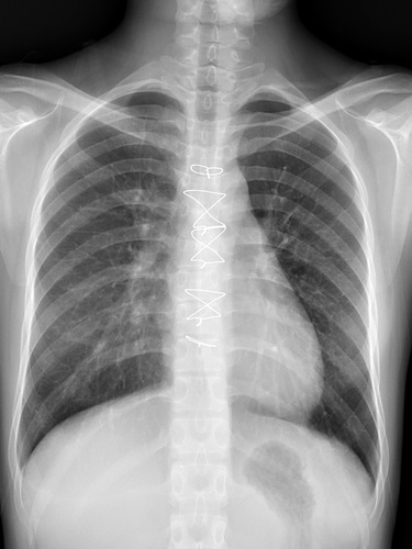
圖:鄭小姐出院後第二次回診檢查,胸部X光影像顯示肺部與心臟已恢復正常。
周產期心肌病變(Peripartum Cardiomyopathy, PPCM)發生率約四千分之一,是孕產婦出現成因不明的心臟功能下降和心衰竭,好發於產前一個月至產後五個月內。由於症狀與懷孕期間可能有的腿部水腫、呼吸喘、心跳加快或不規則、易疲勞等相似,一般人較難第一時間察覺不對勁,等到病患就醫,往往心臟功能已經十分不佳。
鄭小姐在孕期最後一個月經常覺得喘,原以為只是懷孕的正常現象,沒想到分娩過後不僅喘的症狀加劇,甚至時常咳嗽和疲勞,產後一個月,在家人的陪同下至花蓮慈院急診室就醫。因呼吸喘的方式異樣,急診值班醫師懷疑不只是肺部的問題,為她安排心臟超音波檢查,發現竟已是心臟衰竭!心臟內科劉維新醫師表示,鄭小姐十分年輕,且過去沒有相關病史,心臟功能卻非常差,這在臨床上很少見;經過病人主訴和剛生產完的紀錄,研判罹患「周產期心肌病變」,因心肌病變使心臟衰竭,導致肺部積水以及肺炎。
鄭小姐住院治療一週後,心臟功能仍無明顯進步,尤其收縮功能持續偏低,正常應高於55%的左心室射出分率(Left ventricular ejection fraction, LVEF)始終低於45%,至住院第九日晚間突發心律不整,所幸經搶救後恢復心跳,體外循環小組也立刻為她裝上葉克膜,以輔助心肺功能穩定。
外科部主任暨心臟外科醫師張睿智指出,葉克膜雖然能維持病人全身器官的正常運作,為醫療團隊爭取時間挽救性命,卻會對心臟造成極大的阻抗和壓力,使左心室無法把在肺部交換氧氣的血液打出去,全積在肺裡。若心臟功能太差的病人無法承受葉克膜造成的阻力,可能會產生肺水腫,因此需要盡快把葉克膜轉為左心室輔助器(left ventricular assist device, LVAD),幫助減壓,心臟才有機會獲得修復。
急救隔天,待鄭小姐生命徵象穩定後,心臟外科團隊為她裝上左心室輔助器,並很快地移除葉克膜。由於心室輔助器直接從左心室連結人工血管到主動脈,將左心室的血液抽掉的同時,可以連帶把肺部的血液帶出去,使心臟有效減壓,鄭小姐在換上心室輔助器後心臟功能迅速好轉,隔天即可下床復健和自由活動,十天後就順利拆除心室輔助器。
張睿智主任表示,許多人只知道葉克膜能救命,卻不曉得葉克膜對心臟的危害;而近年來醫療觀念轉變,加上醫療設備的進步,越來越多心臟外科醫師更傾向讓急性心衰竭病患盡早由葉克膜換成心室輔助器,加速心臟功能的恢復。花蓮慈院設有二十四小時待命的體外循環小組,以及提供急性和慢性心臟病照護的心臟衰竭團隊,心臟內外科默契合作,救回一條年輕生命。張睿智主任也感恩團隊經年不懈的努力,順利通過醫策會「心衰竭照護品質認證」。
劉維新醫師表示,「一日心衰,終生心衰」,嚴重受損過的心臟即使各項數值皆回歸正常,也仍存在心衰隱患,需長期穩定服藥,而曾罹患周產期心肌病變的病患,將來再次發生周產期心肌病變的風險也較常人更高,他建議,若有再懷孕的計畫,務必經過專業醫師的評估,將風險最小化。張睿智主任也呼籲,若發現孕產婦有疑似症狀,應及早就醫檢查,把握治療時間,避免病況惡化,甚至危及生命。
圖:張睿智主任指出,葉克膜雖然能維持病人全身器官的正常運作,卻會對心臟造成極大的阻抗和壓力,使左心室無法把在肺部交換氧氣的血液打出去。
圖:劉維新醫師表示,周產期心肌病變症狀與懷孕期間可能有的腿部水腫、呼吸喘、心跳加快或不規則、易疲勞等相似,一般人較難第一時間察覺不對勁。