二零二二年七月二十五日,花蓮慈濟醫院完成院史上個案年紀最小的腎結石取出手術!年僅十一個月大的男嬰體內長出兩顆約1.5公分的腎結石並造成急性腎臟發炎,小兒腎臟科主任陳明群醫師指出,查找文獻資料也極少在年紀這麼小的孩子身上發現長有這麼大顆的腎結石的紀錄,這種情況相當罕見,因而如何將石頭順利拿出並取乾淨,對醫療團隊也是個挑戰。
左圖:李政霖主任說明,除了尿鈣問題,余小弟體內還有一種細菌會使尿液「鹼化」,導致他的尿液pH值會比一般人更偏鹼性,結石容易在鹼性的尿液環境裡產生,這也可能是讓余小弟不滿一歲就長出大顆結石的原因。
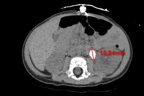
右圖:小兒腎臟科主任陳明群醫師指出,查找文獻資料也極少在年紀這麼小的孩子身上發現長有這麼大顆的腎結石的紀錄,花蓮慈院小兒部與泌尿部團隊攜手合作,順利將余小弟體內的結石移除乾淨。
花蓮慈院小兒部與泌尿部團隊攜手合作,先利用藥物控制住孩子的感染情況,再使用全院最小尺寸的腎臟鏡,以「經皮腎鏡取石手術」將腎結石從腎臟夾出,泌尿部病房主任李政霖醫師表示,在此之前自己遇過年紀最小的腎結石個案是小學生,且石頭較小顆,並不需要特別做手術的處理,可以靠孩子自己喝水排出。經過術後小兒部與泌尿部團隊的照顧,日前男童已恢復健康活力,順利出院。
今年七月初,出生僅十一個月的余小弟因發燒就醫,原先以為只是單純的泌尿道感染,沒想到照了腎臟超音波,發現腎臟裡有兩顆超過一公分的結石,其中一顆堵在輸尿管與腎臟的銜接處,造成堵塞與腎水腫。余小弟的媽媽表示,早在今年三、四月的時候孩子就曾因泌尿道感染而發燒,到其他醫院治療,當時透過藥物控制下來,燒退後就回家了,沒想到這次又再發生。
常見取出腎結石的體外震波與利用逆行性的輸尿管取石法,都沒辦法用在余小弟身上,一是年齡太小無法配合,二是余小弟的腎結石太大顆,輸尿管還未發育完全,直徑窄小僅約0.1公分,即便石頭震碎了也可能排不出去;結石若沒有完全排出,留下部分殘屑在腎臟裡,日後可能會因為尿液留滯的關係繼續在殘渣上結上新出的石頭。經過一番苦思,李政霖主任決定以「經皮腎鏡取石手術」,先用雷射把結石打碎,接著在孩子的背部開一個直徑約0.5公分的小孔,再使用最小的腎臟鏡把石頭碎片夾取出來。最小尺寸的腎臟鏡較常用在十多歲的國小或國中學童身上,0.5公分的傷口對一般人來說並不大,但對嬰兒的身體體積而言卻不小,所幸余小弟術後至加護病房觀察一切無礙,很快轉到普通病房並出院,至今沒有出現全身性感染的問題。
陳明群主任指出,嬰幼兒發生泌尿道感染雖不少見,但不滿一歲的孩子有大顆腎結石卻不尋常,勢必需要找出結石的原因才有機會防範復發或根治。七月八日余小弟住院後,小兒科團隊先使用抗生素控制急性腎臟發炎感染,以內科治療解決感染的問題,同時與泌尿科團隊討論如何用手術把結石從余小弟的體內移除。嬰幼兒的手術風險原本就相對較成人高,除了麻醉以外,還須考慮傷口與身體大小的比例問題,李政霖主任表示,若將泌尿系統想像成一個水管,余小弟原先的情形就是水管被石頭堵住,導致源頭位置容易積水,也就是造成腎臟水腫,進而引起感染或腎功能的退化,而感染又可能再進一步形成結石,進入惡性循環。在花蓮慈院早兒科及泌尿科團隊的配合下,一面控制發炎的情況,一面考量到最適合孩子手術的辦法,最終順利把石頭取出,余小弟也恢復健康,余小弟父母都十分感恩團隊的努力。
為何這麼小的孩子體內會出現腎結石?陳明群指出,從檢驗數據中發現余小弟的尿鈣指數過高,是導致較易形成結石的主因之一,而孩子輸尿管功能的成熟度,或飲食的組成如食用過量的蛋白質及過度的鹽分攝取,都會對尿液生成的環境產生影響。李政霖也說明,除了尿鈣問題,余小弟體內還有一種細菌會使尿液「鹼化」,導致他的尿液pH值會比一般人更偏鹼性,結石容易在鹼性的尿液環境裡產生,這也可能是讓余小弟不滿一歲就長出大顆結石的原因。目前余小弟體內的石頭都已完全清除乾淨,日常藉由補充水分維持足夠尿量排出及透過服藥的方式控制尿鈣數值,並定期回診追蹤,期望可以預防未來泌尿系統結石的再產生。


圖說:電腦斷層不同切面顯示,余小弟體內有兩顆約1.5公分大的結石。