六月十八日凌晨,一名11個月大的女嬰因出現呼吸不暢等缺氧症狀,被緊急送往花蓮慈濟醫院,經急診團隊初步檢查,發現是吸入異物造成氣管阻塞,後續小兒部團隊利用支氣管鏡,將堵塞左邊支氣管的異物夾出,二天後女嬰從兒童加護病房轉至普通病房,並在二十一日平安出院。花蓮慈院兒童急重症科主任裘品筠表示,一般一至二歲以下的嬰幼兒處在口腔期,可能會經常拿到東西就往嘴裡塞,呼籲家長將家中的小物品妥善收起,以避免不慎被孩子誤吞,嗆入氣管或滑進食道。

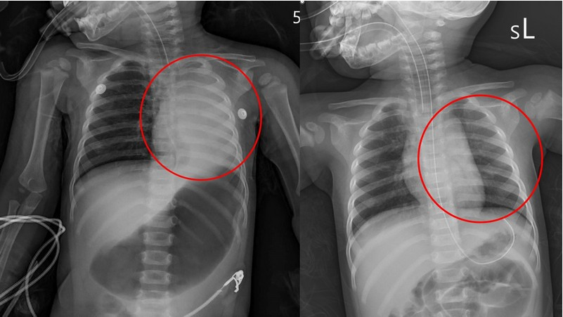
左圖:X光影像顯示孩子的左邊肺部已經呈現白色塌陷狀態。
右圖:將異物取出後氧氣進入,孩子的左肺部不再塌陷,恢復正常充氣狀態。
不滿一歲的小佩(化名)抵達花蓮慈院急診室時,已有明顯膚色變暗、意識不清且身體些微抽搐等缺氧症狀,為避免孩子持續缺氧造成身體損傷,當時在急診值班的兒科病房主任陳明群很快地幫她放入氣管內管,讓肺部能夠獲得足夠的氧氣,並立刻安排進行X光檢查,發現小佩的左邊肺部已經呈現白色塌陷狀態,而右肺部則有過度充氣的現象,團隊進一步做電腦斷層排查原因,找到了原因就是卡在左支氣管入口的異物。小佩很快的從急診轉往兒童加護病房,在初步解決危急情況後,醫療團隊於當日上午利用支氣管鏡檢查,將異物取出,發現這個奪走孩子呼吸的東西,是長3.5公分、寬0.5公分的硬式隱形眼鏡吸棒,所幸把吸棒拿出來後,小佩的恢復情況良好,在二十一日順利出院返家。
根據兒童及少年福利與權益保障法規定,6 歲以下的兒童不得使其獨處,但對年紀小的孩子而言,身邊的大人只是視線短暫離開,再回頭就有可能發生意外。孩童因吸入或誤食物品而被送醫的情況,在臨床上並不少見,裘品筠醫師分享,孩童吸入的異物種類繁多,臨床經驗上就曾有過小玩具、筷子,甚至是剪刀等異物誤入兒童身體的狀況。裘醫師表示,一歲以下的嬰幼兒處在口腔期,常常會把能拿到的東西全部放進嘴巴,是非特定目的的本能行為,而有些一兩歲以上年紀較大的孩子,為了吸引大人注意,可能會刻意吞食不能食用的物品。呼籲家長把家中的物品妥善收拾好,再放到孩子們拿不到的地方,避免發生類似的事件,造成更大傷害。
此外,當幼兒吸入異物造成氣管堵塞,缺氧會導致膚色發紺,也會影響腦部,進而造成身體開始輕微抽搐,嚴重時可能導致窒息死亡。裘品筠醫師指出,當發生這種情況,除了利用「孩童版哈姆立克法」盡快把異物排出,針對一歲以下身體體積較小的嬰幼兒,可以使用拍背的方式協助孩子把異物咳出,並在急救的同時,撥打119叫救護車,盡快送醫。



左圖:醫療團隊透過支氣管鏡檢查,看到異物塞在左支氣管開口處。
中圖:團隊進一步做電腦斷層排查原因,發現是卡在左支氣管入口的異物使氧氣無法進入左肺部。
右圖:卡進孩子支氣管的硬式隱形眼鏡吸棒,上面依稀可看見咬痕。

圖說:花蓮慈院兒童急重症科主任裘品筠表示,一般一至二歲以下的嬰幼兒處在口腔期,呼籲家長將家中的小物品妥善收起,以避免不慎被孩子誤吞。