
圖:眼科李原傑主任。
《真實之路,感恩有您》溫馨座談日誌(4/7)
明察秋毫拔除眼中釘 三十來年的第一張自拍照
慈濟醫療志業體系「六院一家」,為全臺各地的民眾帶來及時性的醫療協助,東部更有「花東三兄弟」-花蓮慈院、玉里慈院、關山慈院一家親,讓偏鄉醫療沒有死角。住在臺東的76歲的林賢治先生,也因為這樣的因緣,來到花蓮慈院就醫,由眼科、神經外科、解剖病理科通力合作,共同為林先生拔除纏身三十年的「眼中釘」!
三十多年前,住在臺東的林賢治先生,左眼球越來越突出,將近一公分,「與眾不同」的外型,讓原本熱愛戶外、熱愛重機、會四處遊玩、甚至北上學拳,生活過得多彩多姿又「飄撇」的林先生,漸漸地,不再經常出門,更討厭照鏡子,甚至連照片都不願意拍攝。
將自己「藏」起來的林先生,就和這突出的左眼球和平共處了三十多年,看過醫生,但都被診斷為甲狀腺突眼症,吃了多年的類固醇,甚至出現胃出血等問題。直到今年初,出現左眼視力模糊且合併複視,影響林先生的生活作息,更讓他不能再如常騎單車。
「你凸眼加上視力衰弱,這很嚴重,要趕快去花蓮慈院就診。」經臺東某醫院的轉介,林先生來到花蓮慈院眼科李原傑主任的門診就診,經電腦斷層檢查確認是眼窩異常,轉由眼瞼眼窩整型專長的陳南詩醫師收治。陳南詩醫師用「驚心動魄」來形容她第一次看到電腦斷層報告的心情,「這麼大的腫瘤就在眼睛旁邊,而且,已經擠壓視神經。」陳南詩醫師說,林先生罹患的是「不得了」的腫瘤,需要立刻處理。

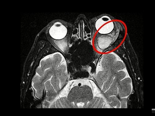
圖:林先生飽受左眼突出之苦三十多年,右為電腦斷層檢查,圈起處即為造成眼凸的眼窩腫瘤。
陳南詩醫師找了相當多的醫學報告,更反覆的在心裡反覆練習,如何向林先生開口比較恰當,以舒緩病人知道噩耗後的驚恐情緒。到了約定好的門診時間,陳南詩醫師卻遲遲沒有等到林先生。
「喂,林先生,您好,我是慈濟醫院的陳南詩醫師。」
「陳醫師,您好,您親自打電話過來我真是太高興了!」
「林先生,您的眼球突出並不是甲狀腺的問題,而是罹患眼睛腫瘤。請您下周務必回診,讓我們一起討論最適宜的治療方式。」
林先生從沒想過會接到醫師親自打的電話,他也依約在隔周到院回診。陳南詩醫師向林先生解釋到,「腫瘤已經壓到視神經,我們來手術切片好不好?」大部分的病人,聽到要開刀都會很猶豫,「再等一下。」「我再看看。」「我去看別人一下。」等等各種理由推託、延期,然而,林先生立刻就說,好,既然不是「好東西」,那就手術,而且越快越好。
手術時間就訂在八月八日父親節當天,經過眼窩電腦斷層、眼部檢查、眼底檢查、視神經纖維掃描、視野檢查……等多項檢查後,第一次手術正式開始,陳南詩醫師以「眼窩減壓術路徑」進入探查,先將眼袋部位的脂肪去除後,就「找到」了「閃閃發亮」的腫瘤, 殊不知,找到腫瘤後,才是煩惱的開始,因為腫瘤「非常硬、難剝離」,陳南詩醫師為林先生盡可能的剝除2/3,約三公分大的眼窩腫瘤。
「我看的到,也看到顏色了!」術後,林先生開心的跟陳南詩醫師說著。術後,視野逐漸恢復正常,左眼受遮蔽處改善。陳南詩醫師卻仍擔憂不已,因為化驗結果經解剖病理科主任許永祥判定,確認林先生患有的是眼窩惡性獨立纖維瘤(Malignant solitary fibrous tumor),是一種惡性的眼窩腫瘤,化療、電療對腫瘤都起不了作用,唯一的方法只有「將腫瘤拿乾淨」。
陳南詩醫師和神經外科邱琮朗主任討論後,決定為林先生再次進行手術。九月份,神經外科邱琮朗主任為林先生執行二次腫瘤移除手術,眼眶額部顱骨切開術(Orbital frontal craniotomy),目標就是「將腫瘤拿乾淨」!
工欲善其事,必先利其器,手術過程中,邱琮朗主任也使用上全臺「唯一」,「碩果僅存」的氣化儀,為林先生剝除腫瘤。氣化儀是透過0.15公分的小圓頭,取代傳統電燒刀,用於組織切割外,同時止血,縮短開刀的時間與出血量。特別適用於精細、精密的地方,特別是靠近神經、血管的部位。氣化儀之於外科醫師,就像是雕刻師在雕刻大木頭時,雕到最後、最精密的部分,所派上用場的「秘密武器」。邱琮朗主任說,「其他人都覺得氣化儀不太好用,但是我用起來覺得就特別順手,所以我就把全臺灣氣化儀都『搜刮』回來,不用錢的。」

左圖:手術過程中,邱琮朗主任使用全臺「唯一」,「碩果僅存」,大小僅0.15公分的氣化儀,為林先生剝除腫瘤。
右圖:花蓮慈院眼科、神經外科團隊為林先生剝除約三公分大的眼窩腫瘤。
邱琮朗主任為林先生執行的二次腫瘤移除手術,手術順利。術後的林先生,恢復情況良好,不僅凸眼的情況緩解,左眼視力也成功從0.1恢復到0.7。
三十多年不願意拍照的林先生,術後第一件事,就是請太太為他拍照!
溫馨座談會場上,林賢治先生和太太特地來到現場,親自向 上人,向醫護團隊表達由衷的感恩。「他現在比較敢出去走了,以前都偷偷走沒有人的地方。」林太太還開玩笑的說,重拾「美貌」的林先生,現在不但早上起來第一件事情就是照鏡子,而且總是「側面看,上面看,前面看」看個不停,鄰居也總誇林先生「變帥了」呢!
人醫菩薩大道行 各科成果用心呈現(1/7)
異鄉車禍徬徨無助 「鄺」世妙手細心拚骨(2/7)
如假包換真腳義肢 張國森越走越穩感恩鄭醫師(3/7)
明察秋毫拔除眼中釘 三十來年的第一張自拍照(4/7)
大愛共伴有情天 醫者細膩見真情(5/7)
以車為家二十載 扭轉乾癬人生(6/7)