
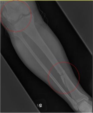
圖:鄺世通醫師分享當時洪國程先生右腳多處粉碎性骨折。

圖:從電腦斷層檢查中,看見洪先生右大腿股骨因為強力撞擊,已經穿出髖關節。

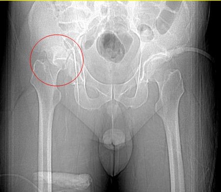
圖:手術治療前後的大腿股骨與髖關節。

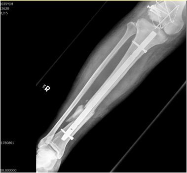
圖:手術治療前後的膝蓋與小腿。

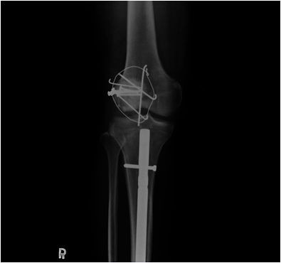
圖:為了保住洪國程的右腿,鄺世通醫師用上鋼板、鋼索、補丁等各種可以的治療方式。
《真實之路,感恩有您》溫馨座談日誌(2/7)
異鄉車禍徬徨無助 「鄺」世妙手細心拚骨
「鄺世通醫師對我來說,就是我父母之外的再造恩人!」一封來自十年後的感恩信,道出了洪國程先生心中的感恩。2006年跟朋友騎重機環島過程中,在中橫公路發生車禍事故,洪國程先生被緊急送往花蓮慈濟醫院急診,當時數位相機還不普遍,像素清晰度也不高,還是用拍立得留下洪先生當時右腿開放性的傷口。
而當時的主治醫師就是個性直率低調,被同事與後進同仁暱稱為鄺爺的骨科鄺世通醫師,這個在鄺醫師口中的小骨折,其實是包含髖關節、大腿股骨、膝蓋髕骨、與小腿脛骨等多處粉碎性骨折的複雜個案,不論是X光檢查,還是電腦斷層檢查,都能看見因為強力撞擊穿出髖關節的股骨,還有粉碎的髕骨,歷經數個小時的開刀,才救回洪國程先生的性命與右腿。
洪國程先生表示,自己是高雄人,太太要工作還要照顧上小學的女兒,所以,大部分時候是一個人在異鄉花蓮接受治療,加上全身傷痛的折磨,不論是身體上還是心裡都很無助,還好花蓮慈院的醫護團隊與志工很親切,常常來病房關懷,才讓他能安心接受治療。
「後來從南部的醫師口中,我才知道這樣的傷勢很可能要截肢!」後續在南部地區就近追蹤回診的洪國程說,自己當時是請朋友幫忙,才掛到南部一家大醫院的骨科主任門診,結果那位骨科主任一看當時的影像檢查報告,就問我是給那一位醫師治療的,因為這麼嚴重的傷勢,在大部分的醫院很可能都會選擇截肢。
後來洪國程才知道,當時鄺醫師可以說是像是在拚一個摔破的瓷碗,一塊一塊地把他的骨頭拼回去,然後再細心的照顧他的傷口,才讓他免去截肢的痛苦,洪國程回想起來,心有餘悸的說:「當時我才35歲,正當年輕而且小孩還小,真的無法想像下半輩子要坐輪椅的生活。」
為了感謝鄺世通醫師的妙手搶救,後來洪國程兩次趁著回診的時候,都拿出紅包要感謝鄺醫師,結果都被鄺醫師婉拒,洪國程表示,當時鄺醫師很直接地說,我們沒有在收紅包的啦,而且這就是我們醫師的本分事!所以,打消包紅包念頭的洪先生決定加入慈濟會員,用護持慈濟的方式,來感謝鄺醫師,也感謝 上人創辦花蓮慈濟醫院。現在就讀大學的洪先生女兒,也特地透過錄音的方式,感謝鄺世通醫師,讓他還能見到爸爸,而且是一個健康的爸爸。
加入慈濟會員還不夠,在手術十年後,洪國程還寫下了一封感謝信,寄到花蓮慈院給鄺世通醫師,一直到現在,不論是自己還是家人遇到骨科方面的問題,洪國程表示,自己常常是高雄花蓮一日遊,或許是自己,或許是爸爸媽媽,還是岳父岳母,有問題都會帶來請鄺醫師治療。因為鄺醫師不只是醫術高明,而且會把整個治療計劃都說得很清楚,每一個進程會遇到的問題跟狀況,你都會很了解,而且都跟他說得一模一樣,這樣的醫師叫人怎麼可能不信任。
◎堅持初衷盡本分 守護生命守護愛

「感謝老鄺跟所有骨科團隊一起守護生命!」花蓮慈院骨科部大家長陳英和名譽院長(左上)表示,大家叫鄺醫師鄺爺,自己習慣叫他老鄺,因為鄺世通醫師就是在花蓮慈院接受住院醫師訓練,很感謝鄺醫師這20多年來的用心付出,從住院醫師到現在一名優秀的資深主治醫師,跟所有骨科團隊一起在花蓮慈院,為鄉親民眾的健康做守護。
陳英和院長說,花東地區因為地理特性,意外事故多,有很多包含骨折個案在內的病人,需要骨科團隊的治療,所以,每一個骨科醫護成員都是我們很珍貴的家人,守護生命的成員。而且不只是在花蓮慈院,從玉里慈院1999年啟業至今十八年來,鄺世通醫師就這樣每週五支援玉里慈院門診,支援了十八年。
當對病人的用心被分享出來之後,鄺世通醫師「鄺爺」說:「我哪有做什麼,我只是比較懶而已。」因為他口中的「懶」,讓他20多年來,堅持在花蓮慈院,守護民眾健康;而他口中的「骨折小手術」,讓一個右腿多處粉碎性骨者的年輕人,免去被截肢的命運;他所謂的「本分事」,也正是 上人創辦花蓮慈院時,給全院同仁的任務。
人醫菩薩大道行 各科成果用心呈現(1/7)
異鄉車禍徬徨無助 「鄺」世妙手細心拚骨(2/7)
如假包換真腳義肢 張國森越走越穩感恩鄭醫師(3/7)
明察秋毫拔除眼中釘 三十來年的第一張自拍照(4/7)
大愛共伴有情天 醫者細膩見真情(5/7)
以車為家二十載 扭轉乾癬人生(6/7)