春季氣溫變化大,早晚氣溫偏低,要小心流感。日前,花蓮慈濟醫院內科加護病房一週內住進二位二十餘歲年輕人,都是先出現發燒、肌肉酸痛等感冒症狀,之後因胸悶和喘到急診,抽血報告顯示心肌酵素異常升高,X光片出現心臟擴大且肋膜積水,心電圖顯示大範圍異常,疑似急性心肌炎,經使用包括利尿劑、抗發炎藥物三天,心臟功能才逐漸改善。
心臟內科主治醫師王惠生指出,心肌炎是心臟的肌肉層發炎合併心肌細胞受損,造成心臟收縮能力銳減,嚴重的心肌炎會引發心率不整、心臟衰竭,甚至休克、死亡;心肌炎發生的原因很多,有可能是病毒、細菌感染或免疫疾病引起,也可能是壓力造成;以病毒感染直接或間接影響心肌造成占多數。
這兩位病人是年齡二十出頭的健康男性,其中一位甚至是有規律高強度運動的訓練。心肌炎發病前,呼吸道已出現數天的感冒症狀,王惠生醫師表示,一般來說,多數病毒性疾病通常無需服用任何藥物也會自然痊癒,但這兩位病人的病情卻在數天後快速惡化,出現臉色蒼白發紺、急喘且虛弱,家人發現過於異常才緊急就醫。儘管病毒篩檢皆為陰性,但胸口悶、喘,心律不整、嚴重倦怠感等症狀,應是心肌炎造成血液輸出量大減的緣故。
經X光檢查,兩人均有心臟擴大、肺水腫,心電圖檢查ST段上升、心律不整;大部分病人出現ST段上升,是特定血管急性心肌梗塞,王惠生醫師說,但這兩位病人都是瀰漫的心電圖異常變化,無法以特定血管阻塞解釋,但合併休克,擔心快速惡化會有生命危險,診視後隨即收住院,在內科加護病房觀察及探查原因,並用利尿劑、消炎藥物治療;所幸發現得早並即時投藥進行支持式療法,病情在三天後即逐漸改善,並轉出加護病房。目前,兩人均已痊癒出院。
王惠生醫師提醒,心肌炎不容易有特殊預防方式,也沒有特定好發族群,預防病毒或細菌感染及注意個人衛生,有助於降低相關心肌炎的風險。流感期間,疫苗接種會有助於預防相關病症,建議民眾依照專家建議施打。若有上呼吸道或腸胃道感染的症狀,後續合併喘、胸悶、頭暈、持續心悸等症狀,就應盡速就醫避免引發更嚴重的合併症。
右圖:王惠生醫師建議,若有上呼吸道或腸胃道感染的症狀,後續合併喘、胸悶、頭暈、持續心悸等症狀,就應盡速就醫避免引發更嚴重的合併症。醫師提醒,心肌炎不容易有特殊預防方式,也沒有特定好發族群,預防病毒或細菌感染及注意個人衛生,有助於降低相關心肌炎的風險。(鍾懷諠/攝影)

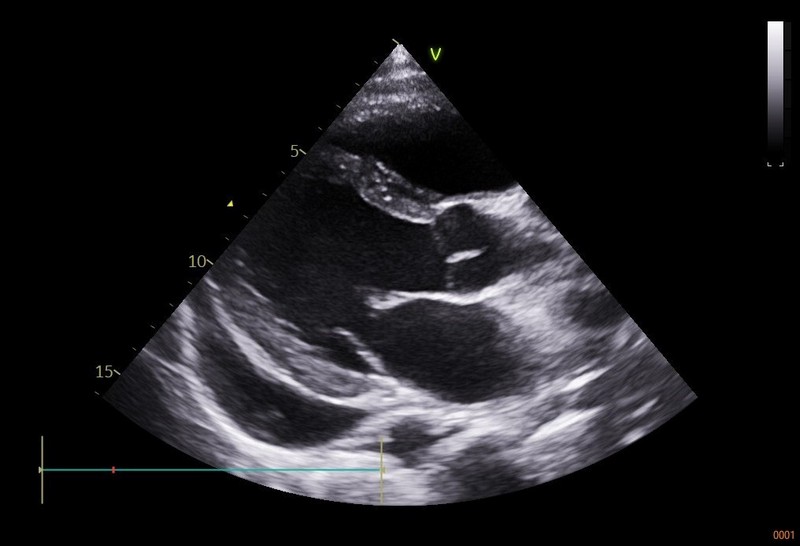
圖:心肌炎病患心臟收縮力下降,超音波檢查呈現心室擴大,同時合併心包膜發炎,所以也發現大量的心臟外積水,使得心臟舒張功能也受到影響。(王惠生提供)

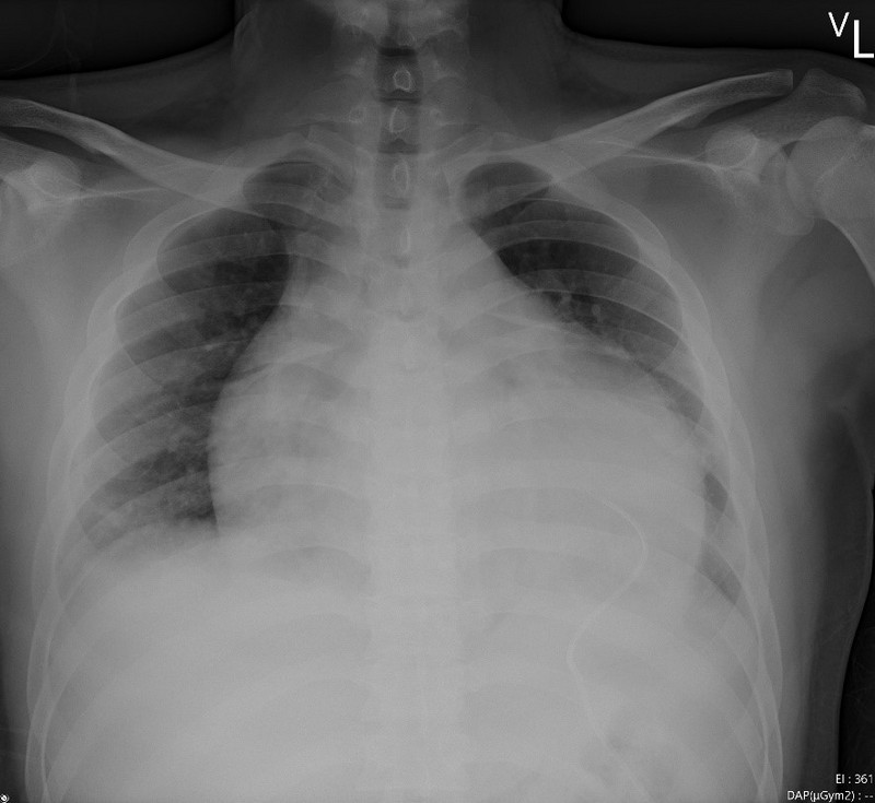
圖:胸部X光可見心臟嚴重擴大,放置引流管減少積水,並以支持式療法治療,數日後才逐漸改善,最後病患順利出院。(王惠生提供)