年近五旬的鄭女士因發燒、頸部腫痛,到花蓮慈濟醫院急診就醫,會診後耳鼻喉科醫師確診為右下頷腺化膿的深頸部感染,切開引流手術後才消腫,耳鼻喉科主治醫師林廉捷指出,病人是在蛀牙拔除後出現症狀,他提醒民眾如果牙痛治療後,臉部、頸部開始發燒腫痛,就要儘早就醫治療,可避免後續嚴重併發症。
林廉捷醫師表示,人體的頸部構造相當複雜,由肌肉筋膜隔成許多空間,當出現感染化膿,就稱為深頸部感染;成人常見病因,以齒源性感染居多,包括蛀牙、牙周病、根尖囊腫等,其他還包括上呼吸道或淋巴結感染等因素,小孩病因多是扁桃腺感染引起。
深頸部感染是容易致命的嚴重疾病,林廉捷醫師指出,危急時,化膿部位腫脹造成呼吸道堵塞,需立即插管搶救,避免病患無法呼吸致命;另嚴重感染恐引發全身性敗血症,若無法以藥物進行有效治療,容易因敗血性休克而致命。
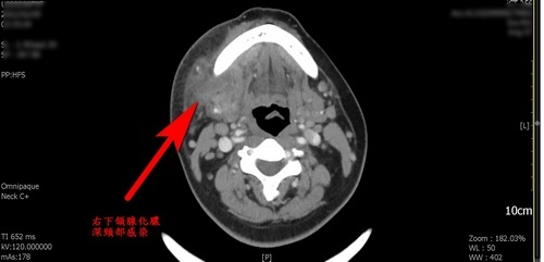
鄭女士到院時發炎指數C反應蛋白達22,遠超過1以下的正常值,入院時張口剩二指幅寬度,僅能喝流質食物,第一線治療先施予抗生素,同時因呼吸道有水腫現象,給予類固醇消腫,但水腫持續擴大影響呼吸,遂執行切開引流手術,林廉捷醫師指出,經檢驗病人是因感染星座鏈球菌化膿往表皮延伸,術後氣管逐漸通暢,一週後化膿排除乾淨就出院,但仍得持續服用抗生素。
花蓮慈院耳鼻喉科平均一個月會遇到最多有二、三個深頸部感染病人,林廉捷醫師說,主述包括頸部紅腫、喉嚨痛、發燒,牙關緊閉、吞嚥、呼吸困難等,通常都是症狀發作二、三天後壓迫到呼吸道才會來急診,如果呼吸道水腫影響到聲帶,講話類似口中含著滷蛋講不清楚。
林廉捷醫師提醒,這類病人若拖太久,化膿部位可能向下延伸,若侵犯到胸腔內肺臟間的縱膈腔,有心臟、動脈等重要器官,死亡率高達50%;如果病人有糖尿病史,感染擴散更快、恢復也比較慢;如果病人感染部位在下咽部咽壁化膿,就一定要考慮氣切治療;因此呼籲民眾頸部出現不舒服症狀,要馬上找耳鼻喉科就診,千萬不要輕忽小小的發炎。

左圖:年近五旬鄭女士,拔牙後發燒、頸部腫痛,到花蓮慈濟醫院急診就醫,確診後為深頸部感染,致死率高達五成。
右圖:深頸部感染電腦斷層影像。

左圖:林廉捷醫師看診情境照。
右圖:林廉捷主治醫師醫師照。