偏方取異物 食道先受傷

      三歲女娃兒誤吞十元硬幣,經以食道鏡夾出後,順利解決危機。不過,家長在送醫前試圖催吐反而造成病人的咽喉與食道有多處糜爛性傷口,花蓮慈濟醫院副院長兼耳鼻喉科主任陳培榕表示,食道有異物時,最好的方法就是送醫,使用偏方只可能引發更多的併發症或後遺症。


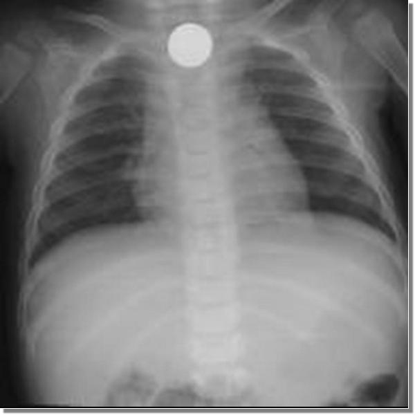
三歲女娃兒誤吞十元硬幣,經以食道鏡夾出後,順利解決危機。

      這位三歲的小病人,因為在跟哥哥玩的時候,把哥哥放在桌子上的十元硬幣,拿起來就塞到嘴裡吞進去,哥哥趕緊告訴正在廚房煮飯的媽媽。為了取出十元硬幣,媽媽不僅用湯匙挖病人的喉嚨,還大力的拍打病人的背部,希望引起嘔吐反射或咳嗽反射,讓病人吐出硬幣。


      如此反覆經過一段時間,小朋友雖然吐出了一大堆食物,就是不見十元硬幣,媽媽隨即把女兒送到醫院治療。經醫師檢查,發現硬幣就卡在食道裡,進而以食道鏡順利取出硬幣。只是醫師在夾出硬幣的同時,也發現病人的咽喉與食道有多處糜爛性的傷口。

      因為食道破裂或咽喉破裂等傷口很容易引起感染,醫師在取出病人的食道異物之後,收病人住院注射抗生素觀察治療。幸在三天後,病人經確診無感染的問題,且已恢復正常吞食,才順利出院。醫護團隊也趁病人住院期間,提供正確的衛教訊息給家長。

      陳培榕主任指出,事實上,以食道鏡取出異物並不難,只是許多人在覺得食道有東西吞不下去的時候,就趕快去喝醋或大力拍背催吐,或者趕快去大口吞一些食物,想盡辦法要把這異物弄下去或吐出來,其實那些都是毫無根據以訛傳訛的錯誤方法,結果往往增加治療的困難度。

      陳培榕說,尤其是喝醋,咽喉、食道都會出現灼傷,當異物順利被取出後,接著還有感染發炎的問題。在醫生的臨床經驗中,最困擾的就是許多病人習慣先用偏方,導致到醫院治療時往往已經很嚴重了,也造成治療過程引發更多的併發症或後遺症,病人也因而受更多的苦。

 


來電
 
導航
 
首頁

醫指付 

醫療科